Diagnostic utility of medical thoracoscopy in T cell lymphoblastic lymphoma presenting with pleural effusion
- PMID: 33425676
- PMCID: PMC7776927
- DOI: 10.1016/j.rmcr.2020.101322
Diagnostic utility of medical thoracoscopy in T cell lymphoblastic lymphoma presenting with pleural effusion
Abstract
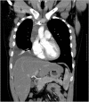
Adult lymphoblastic lymphoma (LBL) is an aggressive form of non-Hodgkin lymphoma occurring among predominantly adolescent and young adult men, accounting for 1%-2% of all non-Hodgkin's lymphomas. In contrast to B-LBL, T-cell LBL is much more common, accounting for up to 90% of disease in adults. Mediastinal mass, pleural and/or pericardial effusions are the major characteristics of T-LBL. We report an 27-year-old male with a pleural effusion, mediastinal lymphadenitis, and a normal hemogram. The cytology of the pleural effusion initially was lymphocytic exudative and ADA was high. For definitive diagnosis a medical thoracoscopy was done. The partial pleura showed multiple irregular nodules and thickening in sheets. It was picked and immunophenotypic study revealed the following: CD3, TdTþ, CD7 with Ki 67 index of 70-80%. The patient was finally diagnosed with T-LBL. He was treated with chemotherapy and is on regular follow up with resolution of effusion. The case highlight the point that medical thoracoscopy is a safe and accurate diagnostic procedure for pleural diseases, and partial pleura biopsy yielded the correct diagnosis.
Keywords: Diagnostic utility of medical thoracoscopy in T cell lymphoblastic lymphoma presenting with pleural effusion.
© 2020 The Authors.
Figures





References
-
- Han X., Kilfoy B., Zheng T., Holford T.R., Zhu C., Zhu Y. Lymphoma survival patterns by WHO subtype in the United States, 1973e2003. Cancer Causes Control. 2008;19:841e58. - PubMed
-
- Wang X.J., Yang Y., Wang Z., Xu L.L., Wu Y.B., Zhang J., Tong Z.H., Shi H.Z. Efficacy and safety of diagnostic thoracoscopy in undiagnosed pleural effusions. Respiration. 2015;90:251–255. - PubMed
-
- Chang M.H., Kim S.J., Kim K., Oh S.Y., Lee D.H., Huh J. Clinical features and treatment outcomes of adult B- and T-lymphoblastic lymphoma: results of multicentre analysis in Korea. Leuk. Lymphoma. 2009;50:1119e25. - PubMed
-
- Martin S.E., Zhang H.Z., Magyarosy E., Jaffe E.S., Hsu S.M., Chu E.W. Immunologic methods in cytology: definitive diagnosis of non-Hodgkin’s lymphomas using immunologic markers for T- and B-cells. Am. J. Clin. Pathol. 1984;82:666e73. - PubMed
-
- Rahman N.M., Ali N.J., Brown G., Chapman S.J., Davies R.J., Downer N.J. British thoracic society pleural disease guideline group. Local anaesthetic thoracoscopy: British thoracic society pleural disease guideline 2010. Thorax. 2010;65:ii54e60. - PubMed
Publication types
LinkOut - more resources
Full Text Sources
Other Literature Sources
Research Materials