A Rare Case of Subcutaneous Panniculitis-Like T Cell Lymphoma with Hemophagocytic Lymphohistiocytosis Mimicking Cellulitis
- PMID: 33428607
- PMCID: PMC7810289
- DOI: 10.12659/AJCR.927142
A Rare Case of Subcutaneous Panniculitis-Like T Cell Lymphoma with Hemophagocytic Lymphohistiocytosis Mimicking Cellulitis
Abstract
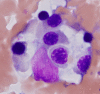
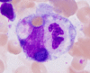
BACKGROUND Subcutaneous panniculitis-like T cell lymphoma and primary cutaneous γdelta T cell lymphoma are rare forms of non-Hodgkin lymphoma presenting as skin nodules or plaques. CASE REPORT Here, we present a case of a 48-year-old man with multiple subcutaneous, tender, erythematous nodules on his right thigh and left arm. Multiple courses of antibiotics were administered with no significant improvement in the patient's lesions. The skin biopsy report showed CD3/CD8 lymphocytic rimming of the adipocytes and the patient was diagnosed with subcutaneous panniculitis-like T cell lymphoma. A subsequent bone marrow biopsy showed hemophagocytic lymphohistiocytosis. The patient underwent treatment with the cyclophosphamide, hydroxydaunorubicin, Oncovin, prednisone, and etoposide chemotherapy regimen and received an autologous peripheral blood stem cell transplant. CONCLUSIONS Nodular skin lesions can result from a variety of noninfectious causes in addition to bacterial and fungal infections. This case highlights the importance of early biopsy of skin lesions that do not respond to standard therapy to establish an accurate diagnosis and start timely treatment to prevent poor outcomes.
Conflict of interest statement
Figures
References
-
- Parveen Z, Thompson K. Subcutaneous panniculitis-like T cell lymphoma: Redefinition of diagnostic criteria in the recent World Health Organization-European Organization for Research and Treatment of Cancer Classification for Cutaneous Lymphomas. Arch Pathol Lab Med. 2009;133(2):303–8. - PubMed
-
- Sakurai EL, Satoh T, Akiko YA, et al. Subcutaneous panniculitis-like T-cell lymphoma (SPTCL) with hemophagocytosis (HPS): Successful treatment using high-dose chemotherapy (BFM-NHL & ALL-90) and autologous peripheral blood stem cell transplantation. J Clin Exp Hematop. 2013;53(2):135–40. - PubMed
-
- Willemze R, Jansen PM, Cerroni L, et al. Subcutaneous panniculitis-like T-cell lymphoma: Definition, classification, and prognostic factors: An EORTC cutaneous lymphoma group study of 83 cases. Blood. 2008;111(2):838–45. - PubMed
-
- Geller S, Myskowski PL, Pulitzer M, et al. Cutaneous T-cell lymphoma (CTCL), rare subtypes: Five case presentations and review of the literature. Chin Clin Oncol. 2019;8(1):5. - PubMed
Publication types
MeSH terms
Supplementary concepts
LinkOut - more resources
Full Text Sources
Medical
Research Materials
