Late adult presentation of ALCAPA syndrome: need for a new clinical classification? A case report and literature overview
- PMID: 33442617
- PMCID: PMC7793133
- DOI: 10.1093/ehjcr/ytaa318
Late adult presentation of ALCAPA syndrome: need for a new clinical classification? A case report and literature overview
Abstract
Background: Anomalous origin of the left main coronary artery from the pulmonary artery (ALCAPA) is a very uncommon congenital coronary artery anomaly, most commonly presenting in early infancy. Late adult presentation of ALCAPA syndrome is extremely rare.
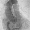
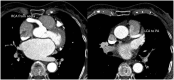
Case summary: We present a case of a 76-year-old patient with first presentation of ALCAPA. The coronary anomaly was first diagnosed during elective coronary angiography. The case was discussed at the Heart Team meeting and as the patient was asymptomatic, had good coronary collateral circulation, a medical treatment strategy was chosen and the patient was discharged in a good physical condition. During 3 years of follow-up, the patient has experienced no cardiovascular complications.
Discussion: We hereby also discuss briefly the clinical presentation, epidemiology, diagnostics and treatment options for adults with newly diagnosed ALCAPA and discuss the need for a new clinical classification. Only a few cases have been published of septuagenarians or octogenarians with first presentation of ALCAPA. To our knowledge, the patient presented in our case was one of the least symptomatic patients during her eight decades of life.
Keywords: ALCAPA; Bland–White–Garland syndrome; Case report; Coronary artery anomaly.
© The Author(s) 2020. Published by Oxford University Press on behalf of the European Society of Cardiology.
Figures





References
-
- Bland EF, White PD, Garland J.. Congenital anomalies of coronary arteries. Am Heart J 1933;8:787–801.
-
- Kayalar N, Burkhart HM, Dearani JA, Cetta F, Schaff HV.. Congenital coronary anomalies and surgical treatment. Congenit Heart Dis 2009;4:239–251. - PubMed
LinkOut - more resources
Full Text Sources