Skip to main page content
U.S. flag

An official website of the United States government

Dot gov

The .gov means it’s official.
Federal government websites often end in .gov or .mil. Before sharing sensitive information, make sure you’re on a federal government site.

Https

The site is secure.
The https:// ensures that you are connecting to the official website and that any information you provide is encrypted and transmitted securely.

Access keys NCBI Homepage MyNCBI Homepage Main Content Main Navigation
Case Reports
. 2020 Dec 11;12(12):e12022.
doi: 10.7759/cureus.12022.

Sertraline-Induced Acute Eosinophilic Pneumonia

Affiliations
Case Reports

Sertraline-Induced Acute Eosinophilic Pneumonia

Prakash Adhikari et al. Cureus. .

Abstract

Acute eosinophilic pneumonia (AEP) is a rare but severe respiratory syndrome characterized by fever, hypoxemic respiratory failure, diffuse pulmonary infiltrates, and pulmonary eosinophilia. The most common cause of AEP is idiopathic, but it can be associated with antidepressant medications like sertraline. A 76-year-old female presented to our ED with acute hypoxemic respiratory failure. She had no history of smoking or prior lung disease. She did not improve after treatment with broad spectrum antibiotics so a trial of corticosteroids was initiated. Her work-up was negative for infectious or collagen vascular causes of the respiratory failure. She was diagnosed with AEP associated with sertraline. Her condition improved with corticosteroid therapy after discontinuation of sertraline. This case report highlights AEP as a possible adverse reaction of sertraline. Prompt discontinuation of the offending drug is necessary for early recovery.

Keywords: acute eosinophilic pneumonia; antidepressants; eosinophilic pneumonia; sertraline; ssri.

PubMed Disclaimer

Conflict of interest statement

The authors have declared that no competing interests exist.

Figures

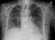
Figure 1
Figure 1. Chest X-ray.
Arrows showing diffuse interstitial opacity
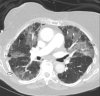
Figure 2
Figure 2. Contrast CT scan chest.
Arrows showing patchy areas of ground glass opacity

References

    1. Eosinophilic pneumonia: a review of the previous literature, causes, diagnosis, and management. Suzuki Y, Suda T. Allergol Int. 2019;68:413–419. - PubMed
    1. Eosinophilic lung diseases. Allen JN, Davis WB. Am J Respir Crit Care Med. 1994;150:1423–1438. - PubMed
    1. Acute eosinophilic pneumonia. A summary of 15 cases and review of the literature. Pope-Harman AL, Davis WB, Allen ED, Christoforidis AJ, Allen JN. Medicine. 1996;75:334–342. - PubMed
    1. Pulmonary drug toxicity: radiologic and pathologic manifestations. Rossi SE, Erasmus JJ, McAdams HP, et al. Radiographics. 2000;20:1245–1259. - PubMed
    1. Bartal C, Sagy I, Barski L. Medicine (Baltimore) Vol. 97. Medicine (Baltimore); 2018. Drug-induced eosinophilic pneumonia: a review of 196 case reports; p. 0. - PMC - PubMed

Publication types

LinkOut - more resources