Posterior Cerebral Circulation Stroke Secondary to Foetal Origin of Posterior Communicating Artery: An Indication for Carotid Endarterectomy
- PMID: 33458718
- PMCID: PMC7797514
- DOI: 10.1016/j.ejvsvf.2020.12.022
Posterior Cerebral Circulation Stroke Secondary to Foetal Origin of Posterior Communicating Artery: An Indication for Carotid Endarterectomy
Abstract
Introduction: Posterior cerebral circulation strokes are most commonly caused by posterior vasculature in situ thrombosis, cardiac emboli, or arterial dissection. However, the foetal origin of the posterior communicating artery is an anatomical variant of the cerebral circulation that results in communication between the internal carotid and posterior cerebral circulation. Therefore, rarely this can result in posterior cerebral territory infarction from internal carotid artery thrombo-embolism. This is the report of a case in which a patient suffered posterior circulation stroke secondary to this anatomical variation of the circle of Willis.
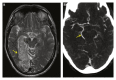
Report: A 71 year old male patient was admitted to the stroke team with seizures, headache, and confusion. Examination revealed a left sided homonymous hemianopia. Diffusion weighted magnetic resonance imaging (MRI) of the brain 36 hours into his admission revealed an acute right posterior circulation infarct with extensive haemorrhagic transformation. Duplex ultrasound three days later revealed a heavily calcified right internal carotid artery mixed echogenicity plaque with 80%-90% stenosis. Subsequent computed tomography angiography showed a large right foetal variant posterior communicating artery. Following improvement in functional status, the patient underwent uneventful carotid endarterectomy to reduce risk of future stroke.
Discussion: In patients presenting with posterior circulation infarction, clinicians should consider embolism from an atheromatous internal carotid artery via the variant foetal origin of posterior communicating artery. If detected, consideration should be given to undertaking carotid endarterectomy to reduce future stroke risk if no other source is detected.
Keywords: Carotid artery disease; Circle of Willis; Foetal origin of posterior communicating artery; Stroke.
© 2020 Published by Elsevier Ltd on behalf of European Society for Vascular Surgery.
Conflict of interest statement
None.
Figures



References
-
- Merwick A., Werring D. Posterior circulation ischaemic stroke. BMJ. 2014;348:g3175. - PubMed
Publication types
LinkOut - more resources
Full Text Sources
Other Literature Sources