Q Fever Vertebral Osteomyelitis Complicating Vertebroplasty
- PMID: 33478629
- PMCID: PMC7835114
- DOI: 10.5041/RMMJ.10430
Q Fever Vertebral Osteomyelitis Complicating Vertebroplasty
Abstract
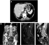
Query (Q) fever is a zoonotic bacterial infection caused by Coxiella burnetii. In a minority of patients, chronic disease can occur after acute infection. Endocarditis and infections of aneurysms or vascular prostheses are the most common forms of chronic Q fever in adults. We report a case of an elderly female patient with chronic Q fever vertebral osteomyelitis at the site of her previous cement vertebroplasty, complicated by paravertebral abscess. Patient treatment required prolonged drainage in addition to the long duration of antibiotic treatment by doxycycline and hydroxychloroquine. Osteomyelitis is a rare clinical presentation in adults with chronic Q fever. However, it is important to consider Q fever in the differential diagnosis of culture-negative osteomyelitis, especially in countries where C. burnetii is endemic, such as Israel.
Conflict of interest statement
Figures


References
-
- Virk A, Mahmood M, Kalra M, et al. Coxiella burnetii multilevel disk space infection, epidural abscess, and vertebral osteomyelitis secondary to contiguous spread from infected abdominal aortic aneurysm or graft: report of 4 cases acquired in the US and review of the literature. Open Forum Infect Dis. 2017;4:ofx192. doi: 10.1093/ofid/ofx192. - DOI - PMC - PubMed
LinkOut - more resources
Full Text Sources
Other Literature Sources