Repair of a Giant Inguinal Hernia
- PMID: 33520525
- PMCID: PMC7837600
- DOI: 10.7759/cureus.12327
Repair of a Giant Inguinal Hernia
Abstract
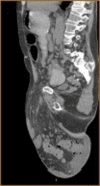
We report a case of a giant inguinal hernia (GIH) that underwent open surgical repair with mesh. The patient had a massive transcompartmental redistribution of abdominal contents from the abdominopelvic cavity to the hernia sac in the scrotum, with subsequent effects on the mechanical nature of the abdominal wall muscles. Repair of this type of giant hernia is challenging as it can raise the intra-abdominal pressure, therefore increasing the risk of abdominal compartment syndrome (ACS). The large size and chronicity of the hernia, associated with deranged mechanical forces/properties of the abdominal wall, made the management of this complex case unique and interesting. In similar cases of massive incisional or ventral hernias, the term "loss of domain" (LOD) is used. In such types of massive hernias, it is important to carefully plan and monitor for adverse physiological effects associated with increased abdominal pressure.
Keywords: abdominal compartment syndrome; giant inguinal hernia; intra-abdominal pressure; loss of domain.
Copyright © 2020, Misseldine et al.
Conflict of interest statement
The authors have declared that no competing interests exist.
Figures









References
-
- Hammoud M, Gerken J. Treasure Island: StatPearls Publishing; 2020. Inguinal Hernia. - PubMed
-
- Scrotal reconstruction for giant inguinal hernias. Hodgkinson DJ, McIlrath DC. Surg Clin North Am. 1984;64:307–313. - PubMed
-
- Morrison Z, Kashyap S, Nirujogi VL. Treasure Island: StatPearls Publishing; 2020. Adult Inguinal Hernia. - PubMed
-
- Abdominal compartment syndrome. De Backer D. Crit Care. 1999;3:0.
Publication types
LinkOut - more resources
Full Text Sources