Skip to main page content
U.S. flag

An official website of the United States government

Dot gov

The .gov means it’s official.
Federal government websites often end in .gov or .mil. Before sharing sensitive information, make sure you’re on a federal government site.

Https

The site is secure.
The https:// ensures that you are connecting to the official website and that any information you provide is encrypted and transmitted securely.

Access keys NCBI Homepage MyNCBI Homepage Main Content Main Navigation
. 2020 Jul-Sep;15(3):204-213.
doi: 10.4103/jpn.JPN_78_19. Epub 2020 Nov 6.

Giant Tuberculomas of Brain: Rare Neoplastic Mimic

Affiliations

Giant Tuberculomas of Brain: Rare Neoplastic Mimic

Chandradev Sahu et al. J Pediatr Neurosci. 2020 Jul-Sep.

Abstract

Objective: Tuberculosis continues to be a major infectious disease in developing parts of the world. Primarily central nervous system tuberculosis manifests as meningitis, tuberculoma, or a brain abscess; however, rarely it may manifest as a large neoplastic mass such as lesion known as giant tuberculoma. Especially in central parts of India, the incidence of giant tuberculoma is quite high in pediatric population that too in posterior fossa of brain. Often, they are wrongly reported as neoplastic masses on imaging. The objective of this study was to evaluate different imaging appearances of a giant tuberculoma.

Materials and methods: In this prospective study, all cases of giant tuberculoma presenting to a large tertiary care center in central India for 2 years (duration 2016-2018) were imaged and followed up. A total of nine patients, six females and three males, aged 4-16 years were studied on a 3-Tesla Siemens magnetic resonance imaging (MRI) scanner.

Results: In total, nine patients were included with 11 giant tuberculomas. Of 11, eight were infratentorial and three were supratentorial in location. On T2-weighted image sequence, these lesions showed central hypointensity with a peripheral hyperintense rim. Most observed finding on T1-weighted image sequence was central isointensity with peripheral hyperintense rim. Advanced imaging sequences such as magnetic resonance spectroscopy and magnetization transfer were also applied.

Conclusion: To the best of our knowledge, this is the largest series of giant tuberculoma in the pediatric population reported so far in any part of the world. We have described the various MRI imaging findings of this lesion in great details. Management of such rare cases and pertinent literature is reviewed briefly.

Keywords: Giant tuberculoma; neoplastic mimicker; pediatric population; posterior fossa.

PubMed Disclaimer

Conflict of interest statement

There are no conflicts of interest.

Figures

Figure 1
Figure 1
T2WI showing an irregular walled centrally hypointense mass lesion with peripheral hyperintense rim in left medial cerebellar lobe with moderate peri-lesional edema (A). On T1WI, the lesion appears predominantly hypo/isointense with a hyperintense rim (B). Irregular rim of peripheral enhancement is seen on post contrast T1WI (C and D). Note is also made of dilated ventricular system secondary to mass effect by giant tuberculoma
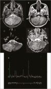
Figure 2
Figure 2
T2WI showing an irregular walled mass lesion with concentric/onion bulb like layers of hyper- and hypointensity in right cerebellar lobe with peri-lesional edema (A). On T1WI, the lesion appears predominantly isointense with a thin peripheral hyperintense rim and a focus of central hypointensity (B). DWI and ADC images show no restriction (C and D). MRS image shows a distinct lipid peak (E)
Figure 3
Figure 3
T2WI showing an irregular walled large lesion with concentric/onion bulb like layers of hyper- and hypointensity in left cerebellar lobe with peri-lesional edema. An eccentric area of hypointensity is present (A). On T1WI, the lesion appears predominantly hyperintense (B). Irregular thick rim of peripheral enhancement is seen on post contrast T1WI with eccentric enhancing mural nodules (targetoid pattern) (C and D). Note is also made of dilated ventricular system secondary to mass effect by giant tuberculoma
Figure 4
Figure 4
T2WI showing an irregular walled lesion showing two central hypointensities surrounded by thick hyperintensity and a thin peripheral hypointense rim in left cerebellar lobe with moderate peri-lesional edema (A). On T1WI, two central hyperintensities surrounded by hypointensity and a peripheral thin hyperintense rim is seen (B). Thick irregular rim of peripheral enhancement with irregular outward projections is seen on post contrast T1WI (C and D)
Figure 5
Figure 5
T2WI showing two thick walled lesions in bilateral cerebellar hemispheres showing central hypointensity surrounded by thick hyperintense rims with moderate peri-lesional edema (A). On T1WI, two central hyperintensities surrounded by alternate rings of hypo and hyperintensity are noted (B). Thick irregular rim of peripheral enhancement with small inward projections are seen on post-contrast T1WI (C and D)

References

    1. Mukherjee S, Das R, Begum S. Tuberculoma of the brain: a diagnostic dilemma: magnetic resonance spectroscopy a new ray of hope. J Assoc Chest Physicians. 2015;3:3–8.
    1. Chatterjee S. Brain tuberculomas, tubercular meningitis, and post-tubercular hydrocephalus in children. J Pediatr Neurosci. 2011;6:S96–S100. - PMC - PubMed
    1. Simsek H, Kutiay M, Colak A, Haholu A, Kaya H, Ozyurt M. Mehmet Nusret DEMIRCAN concomitant tubercular and fungal cerebellar abscess in an immunocompromised girl. Turkish Neurosurg. 2013;23:88–94. - PubMed
    1. Saxena S, Prakash M, Kumar S, Gupta RK. Comparative evaluation of magnetization transfer contrast and fluid attenuated inversion recovery sequences in brain tuberculoma. Clin Radiol. 2005;60:787–93. - PubMed
    1. Chakraborty AK. Prevalence and incidence of tuberculosis infection and disease in India: a comprehensive review WHO/TB/97.231. Geneva, Switzerland: World Health Organization; 1997. pp. 1–26.