Skip to main page content
U.S. flag

An official website of the United States government

Dot gov

The .gov means it’s official.
Federal government websites often end in .gov or .mil. Before sharing sensitive information, make sure you’re on a federal government site.

Https

The site is secure.
The https:// ensures that you are connecting to the official website and that any information you provide is encrypted and transmitted securely.

Access keys NCBI Homepage MyNCBI Homepage Main Content Main Navigation
Case Reports
. 2020 Dec 30;12(12):e12390.
doi: 10.7759/cureus.12390.

Malignant Eccrine Adenoma With Sarcomatous (Heterologous) Components: Report of a Rare Skin Adnexal Neoplasm With Literature Review

Affiliations
Case Reports

Malignant Eccrine Adenoma With Sarcomatous (Heterologous) Components: Report of a Rare Skin Adnexal Neoplasm With Literature Review

Hira Ishtiaq et al. Cureus. .

Abstract

Malignant eccrine spiradenoma (MES) is an exceedingly rare skin adnexal tumor that arises from pre-existing benign eccrine spiradenoma (BES). MES tumors show a wide spectrum of morphological features, posing a diagnostic challenge to the pathologist. Sarcomatous (heterologous) elements are seen in a few of these tumors, further complicating the morphological picture. We herein describe a case of a 66-year-old male who presented with a recently enlarging, ulcerated, nodular skin lesion over the right leg that had been present for the last 25 years. The patient underwent wide local excision of the tumor. Microscopic examination revealed a neoplastic lesion comprising benign and malignant components. The carcinomatous component showed features of infiltrating adenocarcinoma, not otherwise specified, whereas the sarcomatous component showed predominant osteosarcomatous and focal chondrosarcomatous differentiation. The benign component showed morphological and immunohistochemical features of BES. No adjuvant treatment was administered. The patient was alive and disease-free for 14 months, after which he was lost to follow-up. Careful identification and knowledge related to histological diversity are keys to the correct diagnosis of this rare tumor. MESs are potentially aggressive tumors, and therefore, close long-term follow-up should be maintained.

Keywords: eccrine; heterologous; sarcomatous; spiradenocarcinoma; spiradenoma.

PubMed Disclaimer

Conflict of interest statement

The authors have declared that no competing interests exist.

Figures

Figure 1
Figure 1. Carcionomatous component. (A) Low power view of tumor in the dermis showing sheet-like arrangement. Tumor is pushing the overlying skin and causing its thinning (arrows). (B) Tumor nests with central necrosis (arrows). (C) Tumor cells showing cytoplasmic clearing (larger arrow) and focal tubule formation (smaller arrow). (D) High power view of tumor cells showing moderate to markedly pleomorphic nuclei and mitotic figure (arrow).
Figure 2
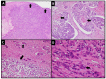
Figure 2. (A) Carcinomatous component demonstrating positive expression for cytokeratin AE1/AE3 IHC stain. (B) Nests of carcinomatous component (larger arrow) showing abrupt transition with pleomorphic sarcomatous component (smaller arrow). (C) Osteosarcomatous differentiation. (D) Chondrosarcomatous differentiation (arrows).
IHC: immunohistochemical
Figure 3
Figure 3. (A) Transition between benign component (larger arrow) and sarcomatous component (smaller arrow). (B) Benign component exhibiting trabeculae and tubules of basaloid cells along with larger cells having clear cytoplasm. Basal lamina-like material is also appreciable (arrows).

References

    1. Kazakov DV, Argenyi ZB, Brenn T, et al. WHO Classification of Skin Tumours. 4th edition. Lyon, France: International Agency for Research on Cancer Press; 2018. Malignant neoplasms arising from spiradenoma, cylindroma, or spiradenocylindroma; pp. 161–162.
    1. A malignant eccrine spiradenoma of the scalp. Chow W, Griffiths M. BMJ Case Rep. 2014;2014:0. - PMC - PubMed
    1. Spiradenocarcinoma, cylindrocarcinoma and spiradenocylindrocarcinoma: a clinicopathological study of nine cases. Dai B, Kong YY, Cai X, Shen XX, Kong JC. Histopathology. 2014;65:658–666. - PubMed
    1. Malignant eccrinespiradenoma (spiradenocarcinoma): a clinicopathologic study of 12 cases. Granter SR, Seeger K, Calonje E, Busam K, McKee PH. Am J Dermatopathol. 2000;22:97–103. - PubMed
    1. Morphologic diversity of malignant neoplasms arising in preexisting spiradenoma, cylindroma, and spiradenocylindroma based on the study of 24 cases, sporadic or occurring in the setting of Brooke-Spiegler syndrome. Kazakov DV, Zelger B, Rütten A, et al. Am J Surg Pathol. 2009;33:705–719. - PubMed

Publication types

LinkOut - more resources