Coronavirus Disease (Covid-19) Associated Mucormycosis (CAM): Case Report and Systematic Review of Literature
- PMID: 33544266
- PMCID: PMC7862973
- DOI: 10.1007/s11046-021-00528-2
Coronavirus Disease (Covid-19) Associated Mucormycosis (CAM): Case Report and Systematic Review of Literature
Abstract
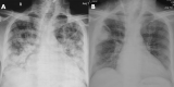
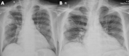
Severe coronavirus disease (COVID-19) is currently managed with systemic glucocorticoids. Opportunistic fungal infections are of concern in such patients. While COVID-19 associated pulmonary aspergillosis is increasingly recognized, mucormycosis is rare. We describe a case of probable pulmonary mucormycosis in a 55-year-old man with diabetes, end-stage kidney disease, and COVID-19. The index case was diagnosed with pulmonary mucormycosis 21 days following admission for severe COVID-19. He received 5 g of liposomal amphotericin B and was discharged after 54 days from the hospital. We also performed a systematic review of the literature and identified seven additional cases of COVID-19 associated mucormycosis (CAM). Of the eight cases included in our review, diabetes mellitus was the most common risk factor. Three subjects had no risk factor other than glucocorticoids for COVID-19. Mucormycosis usually developed 10-14 days after hospitalization. All except the index case died. In two subjects, CAM was diagnosed postmortem. Mucormycosis is an uncommon but serious infection that complicates the course of severe COVID-19. Subjects with diabetes mellitus and multiple risk factors may be at a higher risk for developing mucormycosis. Concurrent glucocorticoid therapy probably heightens the risk of mucormycosis. A high index of suspicion and aggressive management is required to improve outcomes.
Keywords: CAPA; Dexamethasone; Diabetes; Mucorales; Tocilizumab; Zygomycosis.
Conflict of interest statement
The authors declare that there is no conflict of interest.
Figures




References
-
- Reference method for broth dilution antifungal susceptibility testing of filamentous fungi: approved standard-second edition. CLSI document M38-A2. Clinical and Laboratory Standards Institute, Wayne, PA: CLSI, 2008.
Publication types
MeSH terms
Substances
LinkOut - more resources
Full Text Sources
Other Literature Sources
Medical