Assessing the efficacy of a modified crushing technique for the management of concha bullosa: a cone beam computer tomography study
- PMID: 33549509
- PMCID: PMC9615528
- DOI: 10.1016/j.bjorl.2020.12.012
Assessing the efficacy of a modified crushing technique for the management of concha bullosa: a cone beam computer tomography study
Abstract
Introduction: Although many surgical techniques exist to manage obstructive concha bullosa, there continues to be a drive to find the least invasive technique with the fewest complications and best results.
Objectives: The purpose of this study is to describe and assess the short- and long-term efficacy of a modified crushing technique for concha bullosa management.
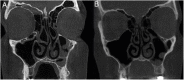
Methods: Patients who met inclusion criteria underwent a detailed nasal examination and cone beam computed tomography imaging prior to and after septoplasty with crushing surgery for obstructive concha bullosa. Patients were divided into short- and long-term groups based on their followup period such that the short-term group had a mean followup of 15.14 months (range 6-22 months) and the long-term group had a mean followup of 56.66 (range 29-80) months.
Results: Twenty-four cases of obstructive concha bullosa were included in this study with 13 short-term and 11 long-term follow-ups. All patients showed a significantly decreased postoperative CB size (p < 0.001). There was no correlation between age and postoperative CB change in area (p = 0.39) and no significant difference in the amount of postoperative CB area reduction between the short-term and long-term groups (p = 0.35). No patients experienced bleeding, synechia, conchal destruction, or olfactory dysfunction on followup evaluations.
Conclusions: Our modified crushing technique is a simple, effective, and lasting treatment option for concha bullosa. From our experience, there have been no complications and no instances of concha bullosa reformation during the follow-up period.
Keywords: Concha bullosa; Cone beam computed tomography; Crushing; Technique.
Copyright © 2021 Associação Brasileira de Otorrinolaringologia e Cirurgia Cérvico-Facial. Published by Elsevier Editora Ltda. All rights reserved.
Figures


References
-
- Zinreich S., Albayram S., Benson M., Oliverio P. In: Head and Neck Imaging. 4th edition. Som P., editor. Mosby; St. Louis, MO: 2003. The ostiomeatal complex and functional endoscopic surgery; p. 149.
-
- Mandour Z., Kalza R., Elwany S. A simple minimally invasive technique to reduce the size of pneumatized middle turbinate (Concha Bullosa) Otolaryngol (Sunnyvale). 2016;6
-
- Tanyeri H., Aksoy E.A., Serin G.M., Polat S., Turk A., Unal O.F. Will a crushed concha bullosa form again? Laryngoscope. 2012;122:956–960. - PubMed
-
- Ozkiris M., Karacavus S., Kapusuz Z., Saydam L. The impact of unilateral concha bullosa on mucociliary activity: an assessment by rhinoscintigraphy. Am J Rhinol Allergy. 2013;27:54–57. - PubMed
-
- Kocak I., Cokler O., Dogan R. Is it effective to use the crushing technique in all types of concha bullosa. Eur Arch Otorhinolaryngol. 2016;273:3775–3781. - PubMed
MeSH terms
LinkOut - more resources
Full Text Sources
Other Literature Sources
Medical
Miscellaneous