Skip to main page content
U.S. flag

An official website of the United States government

Dot gov

The .gov means it’s official.
Federal government websites often end in .gov or .mil. Before sharing sensitive information, make sure you’re on a federal government site.

Https

The site is secure.
The https:// ensures that you are connecting to the official website and that any information you provide is encrypted and transmitted securely.

Access keys NCBI Homepage MyNCBI Homepage Main Content Main Navigation
. 2021 Apr;13(5):397-407.
doi: 10.2217/imt-2020-0263. Epub 2021 Feb 9.

Production of hyperimmune anti-SARS-CoV-2 intravenous immunoglobulin from pooled COVID-19 convalescent plasma

Affiliations

Production of hyperimmune anti-SARS-CoV-2 intravenous immunoglobulin from pooled COVID-19 convalescent plasma

Shaukat Ali et al. Immunotherapy. 2021 Apr.

Abstract

Background: This study assesses the feasibility of producing hyperimmune anti-COVID-19 intravenously administrable immunoglobulin (C-IVIG) from pooled convalescent plasma (PCP) to provide a safe and effective passive immunization treatment option for COVID-19. Materials & methods: PCP was fractionated by modified caprylic acid precipitation followed by ultrafiltration/diafiltration to produce hyperimmune C-IVIG. Results: In C-IVIG, the mean SARS-CoV-2 antibody level was found to be threefold (104 ± 30 cut-off index) that of the PCP (36 ± 8.5 cut-off index) and mean protein concentration was found to be 46 ± 3.7 g/l, comprised of 89.5% immunoglobulins. Conclusion: The current method of producing C-IVIG is feasible as it uses locally available PCP and simpler technology and yields a high titer of SARS-CoV-2 antibody. The safety and efficacy of C-IVIG will be evaluated in a registered clinical trial (NCT04521309).

Keywords: SARS-CoV-2; anti-COVID-19 IVIG; caprylic acid; convalescent plasma; diafiltration; immunotherapy; intravenous immunoglobulins; passive immunization; pooled plasma; ultrafiltration.

PubMed Disclaimer

Figures

Figure 1.
Figure 1.. Process flow diagram for the production of high-titer anti-SARS-CoV-2 intravenously administrable immunoglobulin.
IVIG: Intravenously administrable immunoglobulin.
Figure 2.
Figure 2.. Immunoglobulin content and anti-SARS-CoV-2 antibody level.
(A) Comparison of mean IgG, IgM, IgA and anti-SARS-CoV-2 antibody levels in pooled convalescent plasma with that in C-IVIG and control IVIG produced by the caprylic acid precipitation method. Control IVIG (pre-pandemic) was found to be nonreactive for SARS-CoV-2 antibodies. The anti-SARS-CoV-2 antibody level is measured as cut-off index (sample absorbance/cut-off; cut-off = 1). (B) Comparison of IgG, IgM and IgA content (as percentage of total immunoglobulin) in pooled plasma, C-IVIG and control IVIG. (C) Mean percentage yield of IgG, IgA, IgM and anti-SARS-CoV-2 antibodies from convalescent plasma fractionation. All values are represented as the mean of eight consecutive batches of C-IVIG production. C-IVIG: Anti-COVID-19 intravenously administrable immunoglobulin; IVIG: Intravenously administrable immunoglobulin.
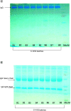
Figure 3.
Figure 3.. SDS-PAGE.
Patterns of eight consecutive batches of IVIG in (A) non-reducing and (B) reducing conditions. B1–B8: Batch numbers; IVIG: Intravenously administrable immunoglobulin; Mw.M: Molecular weight markers (10–250 KDa).
Figure 4.
Figure 4.. Histological examination of liver and kidney of rats.
(A) Cross-section of kidney treated with 0.5 mg/kg dose of intravenously administrable immunoglobulin. (B) Cross-section of liver treated with 0.5 mg/kg dose. (C) Cross-section of kidney of control group. (D) Cross-section of liver of control group.

References

    1. Wang D, Hu B, Hu C et al. Clinical characteristics of 138 hospitalized patients with 2019 novel coronavirus-infected pneumonia in Wuhan, China. JAMA 323(11), 1061–1069 (2020). - PMC - PubMed
    1. Huang C, Wang Y, Li X et al. Clinical features of patients infected with 2019 novel coronavirus in Wuhan, China. Lancet 395(10223), 497–506 (2020). - PMC - PubMed
    1. Rothan HA, Byrareddy SN The epidemiology and pathogenesis of coronavirus disease (COVID-19) outbreak. J. Autoimmun. 109, 102433 2020). - PMC - PubMed
    1. World Health Organization. Coronavirus disease (COVID-19) pandemic (2020). www.who.int/emergencies/diseases/novel-coronavirus-2019
    1. Fernandes N Economic effects of coronavirus outbreak (COVID-19) on the world economy. IESE Business School Working Paper No. WP-1240-E. (2020) (Epub ahead of print)

Publication types

MeSH terms

Associated data