A 40-Year-Old Man With Tricuspid Atresia, Status Post-Fontan, With Severe COVID-19 Pneumonia and Pneumothorax
- PMID: 33558861
- PMCID: PMC7857704
- DOI: 10.1016/j.jaccas.2020.10.032
A 40-Year-Old Man With Tricuspid Atresia, Status Post-Fontan, With Severe COVID-19 Pneumonia and Pneumothorax
Abstract
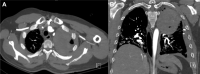
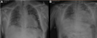
We report a case of COVID-19 in an adult single-ventricle patient post-Fontan-to our knowledge, the first report in this population documenting the use of the latest management recommendations for this novel disease. Additionally, this patient had significant pre-existing ventricular dysfunction, valvular disease, and comorbidities including HIV. (Level of Difficulty: Advanced.).
Keywords: ART, antiretroviral therapy; COVID-19, coronavirus disease-2019; HFNC, high-flow nasal cannula; PVR, pulmonary vascular resistance; SARS-CoV-2, severe acute respiratory syndrome-coronavirus-2; anticoagulation; congenital heart defect; pulmonary circulation.
© 2021 The Authors.
Conflict of interest statement
The authors have reported that they have no relationships relevant to the contents of this paper to disclose.
Figures
References
-
- The RECOVERY Collaborative Group Dexamethasone in hospitalized patients with Covid-19—preliminary report. N Engl J Med. 2020 Jul 17 [E-pub ahead of print]
-
- Chugh R. The Fontan thromboprophylaxis dilemma. J Am Coll Cardiol. 2019;74:1082–1085. - PubMed
Publication types
LinkOut - more resources
Full Text Sources
Other Literature Sources
Research Materials
Miscellaneous
