Aggressive angiomyxoma of the ischioanal fossa in a post-menopausal woman
- PMID: 33559550
- PMCID: PMC9773864
- DOI: 10.1308/rcsann.2020.7008
Aggressive angiomyxoma of the ischioanal fossa in a post-menopausal woman
Abstract
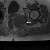
Aggressive angiomyxoma is a rare mesenchymal tumour, primarily arising in the soft tissue of the pelvis and perineum in women of reproductive age. There is a paucity of evidence on optimal management because of the rarity of these tumours, but the consensus has been for surgical excision. We present the case of a 65-year-old woman who was admitted with left-sided buttock pain and initially diagnosed with a perianal abscess. She underwent examination under anaesthesia rectum with surgical excision of the lesion, subsequent histopathological and immunochemical analysis was suggestive of aggressive angiomyxoma. To complement our case report, we also present a literature review focusing on aggressive angiomyxoma in the ischioanal fossa (also known as the ischiorectal fossa) with only eight cases of primary aggressive angiomyxoma involving the ischioanal fossa documented to date. The primary aims of this case report and literature review are to familiarise clinicians with the clinical, histopathological and immunochemical features of these tumours, and to increase appreciation that despite the rarity of aggressive angiomyxoma, it might be considered in the differential diagnosis of ischioanal lesions.
Keywords: Angiomyxoma; Ischioanal fossa; Mesenchymal tumour.
Figures



References
Publication types
MeSH terms
LinkOut - more resources
Full Text Sources
Other Literature Sources