Lung adenocarcinoma and sequential antineutrophil cytoplasmic antibody-associated vasculitis: a case report
- PMID: 33596705
- PMCID: PMC7897826
- DOI: 10.1177/0300060521993319
Lung adenocarcinoma and sequential antineutrophil cytoplasmic antibody-associated vasculitis: a case report
Abstract
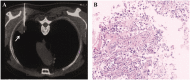
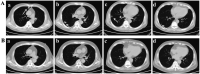
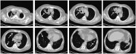
The relationship between antineutrophil cytoplasmic antibody (ANCA)-associated vasculitis (AAV) and lung cancer remains unclear. A 66-year-old man presented with pulmonary nodules. Histological examination of a specimen from computed tomography-guided percutaneous transthoracic biopsy revealed adenocarcinoma. The patient was treated using cryoablation and systemic chemotherapy. Sixteen months later, the patient presented with fever, nasal inflammation, recurrent lung lesions, elevated serum creatinine levels, and high levels of ANCA. Histological examination of a specimen from ultrasound-guided percutaneous renal biopsy revealed pauci-immune necrotizing crescentic glomerulonephritis. The patient responded to treatment, but granulomatosis with polyangiitis recurred and he later died. This case highlights the possibility of sequential AAV with lung cancer. Although this is relatively rare, further research is needed to better understand the association or pathophysiological link between lung cancer and AAV.
Keywords: Adenocarcinoma; antineutrophil cytoplasmic antibody-associated vasculitis; autoimmune disease; case report; granulomatosis with polyangiitis; lung cancer.
Conflict of interest statement
Figures








References
-
- Mahr A, Heijl C, Le Guenno G, et al. ANCA-associated vasculitis and malignancy: current evidence for cause and consequence relationships. Best Pract Res Clin Rheumatol 2013; 27: 45–56. - PubMed
-
- Chemouny JM, Pagnoux C, Caudwell V, et al. ANCA-associated diseases and lung carcinomas: a five-case series. Clin Nephrol 2014; 81: 132–137. - PubMed
-
- Pankhurst T, Savage CO, Gordon C, et al. Malignancy is increased in ANCA-associated vasculitis. Rheumatology (Oxford) 2004; 43: 1532–1535. - PubMed
-
- Sunesen KG, Norgaard M, Thorlacius-Ussing O, et al. Immunosuppressive disorders and risk of anal squamous cell carcinoma: a nationwide cohort study in Denmark, 1978–2005. Int J Cancer 2010; 127: 675–684. - PubMed
-
- Knight A, Askling J, Ekbom A. Cancer incidence in a population-based cohort of patients with Wegener's granulomatosis. Int J Cancer 2002; 100: 82–85. - PubMed
Publication types
MeSH terms
Substances
LinkOut - more resources
Full Text Sources
Other Literature Sources
Medical