Systematic Review of Magnetic Resonance Lymphangiography From a Technical Perspective
- PMID: 33625795
- PMCID: PMC7611641
- DOI: 10.1002/jmri.27542
Systematic Review of Magnetic Resonance Lymphangiography From a Technical Perspective
Abstract
Background: Clinical examination and lymphoscintigraphy are the current standard for investigating lymphatic function. Magnetic resonance imaging (MRI) facilitates three-dimensional (3D), nonionizing imaging of the lymphatic vasculature, including functional assessments of lymphatic flow, and may improve diagnosis and treatment planning in disease states such as lymphedema.
Purpose: To summarize the role of MRI as a noninvasive technique to assess lymphatic drainage and highlight areas in need of further study.
Study type: Systematic review.
Population: In October 2019, a systematic literature search (PubMed) was performed to identify articles on magnetic resonance lymphangiography (MRL).
Field strength/sequence: No field strength or sequence restrictions.
Assessment: Article quality assessment was conducted using a bespoke protocol, designed with heavy reliance on the National Institutes of Health quality assessment tool for case series studies and Downs and Blacks quality checklist for health care intervention studies.
Statistical tests: The results of the original research articles are summarized.
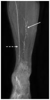
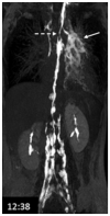
Results: From 612 identified articles, 43 articles were included and their protocols and results summarized. Field strength was 1.5 or 3.0 T in all studies, with 25/43 (58%) employing 3.0 T imaging. Most commonly, imaging of the peripheries, upper and lower limbs including the pelvis (32/43, 74%), and the trunk (10/43, 23%) is performed, including two studies covering both regions. Imaging protocols were heterogenous; however, T2 -weighted and contrast-enhanced T1 -weighted images are routinely acquired and demonstrate the lymphatic vasculature. Edema, vessel, quantity and morphology, and contrast uptake characteristics are commonly reported indicators of lymphatic dysfunction.
Data conclusion: MRL is uniquely placed to yield large field of view, qualitative and quantitative, 3D imaging of the lymphatic vasculature. Despite study heterogeneity, consensus is emerging regarding MRL protocol design. MRL has the potential to dramatically improve understanding of the lymphatics and detect disease, but further optimization, and research into the influence of study protocol differences, is required before this is fully realized.
Level of evidence: 2 TECHNICAL EFFICACY: Stage 2.
Keywords: Magnetic resonance lymphangiography; lymphatics; lymphedema; lymphography; review.
© 2021 The Authors. Journal of Magnetic Resonance Imaging published by Wiley Periodicals LLC. on behalf of International Society for Magnetic Resonance in Medicine.
Figures










References
-
- Sleigh BC, Manna B. Lymphedema. StatPearls Publishing; Treasure Island, FL: 2020. Available at: https://www.ncbi.nlm.nih.gov/books/NBK537239/ - PubMed
-
- Földi M, Földi E. Földi’s textbook of lymphology for physicians and lymphoedmema therapists. 3rd ed. Urban & Fischer; München: 2012.
-
- The International Society of Lymphology. The diagnosis and treatment of peripheral lymphedema: 2020 consensus document of the International Society of Lymphology. Lymphology. 2020;53:3–19. - PubMed
-
- Weiss M, Burgard C, Baumeister R, et al. Magnetic resonance imaging versus lymphoscintigraphy for the assessment of focal lymphatic transport disorders of the lower limb. Nuklearmedizin. 2014;53:190–196. - PubMed
Publication types
MeSH terms
Substances
Grants and funding
LinkOut - more resources
Full Text Sources
Other Literature Sources
Medical
Research Materials