Acute Tubulointerstitial Nephritis in Clinical Oncology: A Comprehensive Review
- PMID: 33652638
- PMCID: PMC7956739
- DOI: 10.3390/ijms22052326
Acute Tubulointerstitial Nephritis in Clinical Oncology: A Comprehensive Review
Abstract
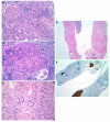
Acute kidney injury in patients who suffer a malignancy is a common complication. Due to its high prevalence and effective treatment, one of the most frequent causes that both oncologists and nephrologists must be aware of is acute tubulointerstitial nephritis (ATIN). ATIN is an immunomediated condition and the hallmark of the disease, with the presence of a tubulointerstitial inflammatory infiltrate in the renal parenchyma. This infiltrate is composed mainly of T lymphocytes that can be accompanied by macrophages, neutrophils, or eosinophils among other cells. One of the major causes is drug-related ATIN, and some antineoplastic treatments have been related to this condition. Worthy of note are the novel immunotherapy treatments aimed at enhancing natural immunity in order to defeat cancer cells. In the context of the immunosuppression status affecting ATIN patients, some pathogen antigens can trigger the development of the disease. Finally, hematological malignancies can also manifest in the kidney leading to ATIN, even at the debut of the disease. In this review, we aim to comprehensively examine differential diagnosis of ATIN in the setting of a neoplastic patient.
Keywords: acute kidney injury; acute tubulointerstitial nephritis; onconephrology.
Conflict of interest statement
The author declares no conflict of interest.
Figures

References
-
- Chambers W.H., Rabinowich H., Herberman R.B. Holland-Frei Cancer Medicine. 6th ed. BC Decker Inc.; Hamilton, ON, Canada: 2003. Mechanisms of Immunosuppression.
Publication types
MeSH terms
Supplementary concepts
LinkOut - more resources
Full Text Sources
Other Literature Sources