Bilateral thalamic lesion presenting as Broca's type subcortical aphasia in cerebral venous thrombosis: index case report
- PMID: 33653859
- PMCID: PMC7929884
- DOI: 10.1136/bcr-2020-240196
Bilateral thalamic lesion presenting as Broca's type subcortical aphasia in cerebral venous thrombosis: index case report
Abstract
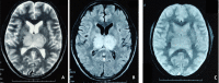
A 35-year-old man with a history of multiple substances abuse (alcohol, tobacco and cannabis) presented with acute, severe, holocranial headache associated with nausea and few episodes of vomiting followed by acute onset Broca-type aphasia with intact comprehension from next day, without any other focal neurodeficits, seizure or altered sensorium. Neurological examination was marked by Broca-type aphasia and failure in convergence reaction bilaterally, rest unremarkable. Brain imaging revealed lesions in bilateral thalamus, while magnetic resonance venography showed multiple flow voids in posterior part of superior sagittal sinus and bilateral transverse sinus. A diagnosis of cerebral venous sinus thrombosis was made. Subsequent investigations revealed decreased levels of protein C, protein S and antithrombin III. The patient was started on anticoagulation to which his headache and aphasia recovered completely after 8 and 12 days of therapy, respectively. He is being continued on anticoagulation and is following-up with us for past 4 months uneventfully.
Keywords: neuroimaging; stroke; venous thromboembolism; warfarin therapy.
© BMJ Publishing Group Limited 2021. No commercial re-use. See rights and permissions. Published by BMJ.
Conflict of interest statement
Competing interests: None declared.
Figures




References
Publication types
MeSH terms
LinkOut - more resources
Full Text Sources
Other Literature Sources
Medical
Miscellaneous