Splenic artery pseudoaneurysm and resultant haematosuccus pancreaticus
- PMID: 33664031
- PMCID: PMC7934783
- DOI: 10.1136/bcr-2020-239485
Splenic artery pseudoaneurysm and resultant haematosuccus pancreaticus
Abstract
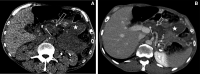
Splenic artery pseudoaneurysm (SAP) is a rare and dangerous diagnosis with a high risk of rupture and death. It is the most common cause of main pancreatic duct haematoma-haematosuccus pancreaticus (HP). Neither SAP nor HP have specific clinical features that allow diagnosis without cross-sectional imaging. Upper gastrointestinal haemorrhage and a history of pancreatitis should raise clinical suspicion but ultimately endoscopy and CT are required. We report a case of a 51-year-old man without clinical symptoms in whom cross-sectional imaging was undertaken for incidental severe acute anaemia. This demonstrated stigmata of chronic pancreatitis and the main pancreatic duct was distended with dense material in keeping with haematoma. The diagnosis of a SAP bleeding into the main pancreatic duct was made radiologically. A subsequent oesophago-gastro-duodenoscopy confirmed the diagnosis. The imaging appearances, pathophysiology and management are discussed.
Keywords: GI bleeding; gastrointestinal system; general surgery; radiology.
© BMJ Publishing Group Limited 2021. No commercial re-use. See rights and permissions. Published by BMJ.
Conflict of interest statement
Competing interests: None declared.
Figures


References
Publication types
MeSH terms
LinkOut - more resources
Full Text Sources
Other Literature Sources
Medical
Research Materials
Miscellaneous