Streptococcus pneumoniae purulent pericarditis secondary to influenza A infection and pneumococcal pneumonia in an immunocompetent woman
- PMID: 33692069
- PMCID: PMC7949447
- DOI: 10.1136/bcr-2020-240763
Streptococcus pneumoniae purulent pericarditis secondary to influenza A infection and pneumococcal pneumonia in an immunocompetent woman
Abstract
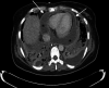
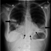
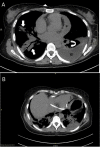
A 44-year-old previously well woman presented with features of respiratory sepsis including a productive cough and fevers, with a recent preceding influenza-like illness. She was diagnosed with community-acquired pneumonia on chest radiograph, influenza infection via nasopharyngeal swab and Streptococcus pneumoniae bloodstream infection with associated purulent pericarditis. She was managed with pericardial drainage and concurrent treatment with antibiotics and made an excellent recovery. This case highlights the complications of both influenza and S. pneumoniae infections, and the importance of prevention via vaccination.
Keywords: immunological products and vaccines; infectious diseases; pericardial disease; pneumonia (infectious disease); pneumonia (respiratory medicine).
© BMJ Publishing Group Limited 2021. No commercial re-use. See rights and permissions. Published by BMJ.
Conflict of interest statement
Competing interests: None declared.
Figures



References
-
- CDC (Centers for Disease Control and Prevention) . Seasonal influenza burden index, surveillance report, 2020. Available: https://www.cdc.gov/flu/about/burden/2019-2020.html#:~:text=CDC%20estima... [Accessed 1 Oct 2020].
-
- HPSC (Health Protection Surveillance Centre) . Influenza surveillance in Ireland. influenza surveillance report, 2020. Available: https://www.hpsc.ie/a-z/respiratory/influenza/seasonalinfluenza/surveill...
Publication types
MeSH terms
LinkOut - more resources
Full Text Sources
Other Literature Sources
Medical