Multiple Arterial Thrombosis in a COVID Patient With No Known Comorbidities With Mild Elevation of D-Dimer
- PMID: 33717746
- PMCID: PMC7943694
- DOI: 10.7759/cureus.13207
Multiple Arterial Thrombosis in a COVID Patient With No Known Comorbidities With Mild Elevation of D-Dimer
Abstract
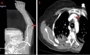
Since the coronavirus (COVID-19) pandemic started, new challenges have emerged regarding the management of coronavirus-infected patients. One of the most known devastating complications associated with COVID-19 is hypercoagulability. This can lead to severe disability or even death, especially in critically ill patients with known chronic comorbidities such as hypertension (HTN) and diabetes. D-dimer and clinical condition are among the most important tools currently used by clinicians to guide therapy and anticoagulation prophylaxis. Here we present a case of a COVID-19-infected patient with no known comorbidities and mild elevation in initial D-dimer level who had a rapid deterioration ultimately leading to death within weeks of admission.
Keywords: arterial thrombosis; coronavirus; covid 19; d-dimer; hypercoagulability; limb ischemia; multiple arterial thrombosis; sars-cov-2; stroke.
Copyright © 2021, Mekheal et al.
Conflict of interest statement
The authors have declared that no competing interests exist.
Figures


References
-
- Acute arterial thromboembolism in patients with COVID-19 in the New York city area. Etkin Y, Conway AM, Silpe J, et al. https://pubmed.ncbi.nlm.nih.gov/32866580/ Ann Vasc Surg. 2021;70:290–294. - PMC - PubMed
-
- Pulmonary vascular endothelialitis, thrombosis, and angiogenesis in COVID-19. Ackermann M, Verleden SE, Kuehnel M, et al. https://pubmed.ncbi.nlm.nih.gov/32437596/ N Engl J Med. 2020;383:120–128. - PMC - PubMed
Publication types
LinkOut - more resources
Full Text Sources
Other Literature Sources
Miscellaneous