Childhood-Onset Leber Hereditary Optic Neuropathy: Particular Features
- PMID: 33737839
- PMCID: PMC7966410
- DOI: 10.2147/IMCRJ.S303460
Childhood-Onset Leber Hereditary Optic Neuropathy: Particular Features
Abstract
Background: Leber hereditary optic neuropathy (LHON) is an optic neuropathy of mitochondrial inheritance. Childhood-onset disease is relatively rare and there are limited data on this important patient subgroup.
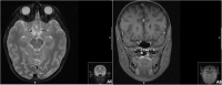
Case presentation: We present 3 particular presentations of LHON. Patient 1 was an 8-year-old boy admitted to the emergency department reporting a progressive bilateral visual loss and intermittent headaches. Neuro-ophthalmological examination revealed a bilateral pseudopapilledema. Lumbar puncture identified intracranial hypertension and the brain and orbits magnetic resonance imaging showed T2 hyperintensity in the posterior region of the left optic nerve and the optic chiasm. Patient 2 was a 12-year-old boy admitted to the emergency department reporting painless, progressive central vision loss in the right eye. Fundus examination revealed a hyperemic disc and vascular network papillary and peripapillary vascular microdilations. Three months later, the left eye presented visual loss. Patient 3 was a 6-year-old female child referred to the neuro-ophthalmology specialist due to painless central visual loss in both eyes. Her BCVA was 1/10 and counting fingers in right and left eye, respectively, and fundus examination revealed a pallor optic disc in the temporal sector.
Discussion: The phenotype of childhood-onset disease may present itself distinct from classical adult-onset LHON. The absence of classical clinical features could lead to initial misdiagnosis. There should exist a high index of suspicion in children presenting unexplained subnormal vision in order to avoid potential diagnostic delays.
Keywords: Leber hereditary optic neuropathy; childhood-onset disease; mitochondrial inheritance.
© 2021 Cunha et al.
Conflict of interest statement
The authors report no conflicts of interest in this work.
Figures




References
Publication types
LinkOut - more resources
Full Text Sources
Other Literature Sources