Radial Scar: a management dilemma
- PMID: 33743143
- PMCID: PMC8154762
- DOI: 10.1007/s11547-021-01344-w
Radial Scar: a management dilemma
Abstract
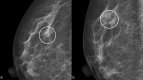
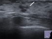
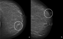
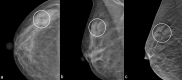
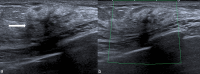
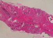
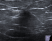
Radial scar (RS) or complex sclerosing lesions (CSL) if > 10 mm is a benign lesion with an increasing incidence of diagnosis (ranging from 0.6 to 3.7%) and represents a challenge both for radiologists and for pathologists. The digital mammography and digital breast tomosynthesis appearances of RS are well documented, according to the literature. On ultrasound, variable aspects can be detected. Magnetic resonance imaging contribution to differential diagnosis with carcinoma is growing. As for the management, a vacuum-assisted biopsy (VAB) with large core is recommended after a percutaneous diagnosis of RS due to potential sampling error. According to the recent International Consensus Conference, a RS/CSL lesion, which is visible on imaging, should undergo therapeutic excision with VAB. Thereafter, surveillance is justified. The aim of this review is to provide a practical guide for the recognition of RS on imaging, illustrating radiological findings according to the most recent literature, and to delineate the management strategies that follow.
Keywords: B3-lesions; Radial scar; Radial scar management; Vacuum-assisted biopsy.
Conflict of interest statement
The authors declare that they have no competing interests.
Figures
References
-
- Ellis IO, Humphreys S, Michell M, Pinder SE, Wells CA, Zakhour HD, UK National Coordinating Commmittee for Breast Screening Pathology, European Commission Working Group on Breast Screening Pathology Best Practice No 179. Guidelines for breast needle core biopsy handling and reporting in breast screening assessment. J Clin Pathol. 2004;57(9):897–902. doi: 10.1136/jcp.2003.010983. - DOI - PMC - PubMed
-
- Rageth CJ, O’Flynn E, Pinker K, Kubik-Huch RA, Mundinger A, Decker T, Tausch C, Dammann F, Baltzer PA, Fallenberg EM, Foschini MP, Dellas S, Knauer M, Malhaire C, Sonnenschein M, Boos A, Morris E, Varga Z (2019) Second International Consensus Conference on lesions of uncertain malignant potential in the breast B3 lesions. Breast Cancer Res Treat 174(2):279–296 - PMC - PubMed
-
- Loane J. Benign sclerosing lesions of the breast. Diagn Histopathol. 2009;15(8):395–401. doi: 10.1016/j.mpdhp.2009.05.003. - DOI
Publication types
MeSH terms
LinkOut - more resources
Full Text Sources
Other Literature Sources
Medical
Research Materials
