A Case of Renal Inflammatory Pseudotumor Leading to Nephrectomy
- PMID: 33745352
- PMCID: PMC7985938
- DOI: 10.1177/23247096211003224
A Case of Renal Inflammatory Pseudotumor Leading to Nephrectomy
Abstract
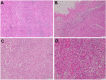
Inflammatory pseudotumor (IPT) of the kidney is a rare benign disorder with unknown etiology. In IPT patients, some nonspecific symptoms might present, such as fever, hematuria, and back pain. As it can appear on computed tomography and magnetic resonance imaging as a hypovascular mass with surrounding fat stranding, IPT can be misdiagnosed as a primary tumor. Since the clinical symptoms, radiographic features, and preoperative findings can be inconsistent, it is imperative to confirm IPT based on histopathological assessment. In the present study, we describe a case of renal IPT in a 13-year-old girl. The patient was treated with nephrectomy of the right kidney since the preoperative diagnosis was renal carcinoma. Pathological examination revealed an IPT. This article emphasizes the importance of preoperative definitive diagnosis in avoiding unnecessary nephrectomy.
Keywords: inflammatory myofibroblastic tumor; inflammatory pseudotumor; kidney.
Conflict of interest statement
Figures
References
-
- Patnana M, Sevrukov AB, Elsayes KM, Viswanathan C, Lubner M, Menias CO. Inflammatory pseudotumor: the great mimicker. AJR Am J Roentgenol. 2012;198:W217-W227. - PubMed
-
- Park SB, Cho KS, Kim JK, et al. Inflammatory pseudotumor (myoblastic tumor) of the genitourinary tract. AJR Am J Roentgenol. 2008;191:1255-1262. - PubMed
-
- Babu P, Kalpana Kumari M, Nagaraj HK, Mysorekar VV. Inflammatory pseudotumor of kidney masquerading as renal carcinoma. J Cancer Res Ther. 2015;11:668. - PubMed
Publication types
MeSH terms
LinkOut - more resources
Full Text Sources
Other Literature Sources
Research Materials
