Case report: Haemophagocytic histiocytic sarcoma in an english setter
- PMID: 33750030
- PMCID: PMC8294398
- DOI: 10.1002/vms3.480
Case report: Haemophagocytic histiocytic sarcoma in an english setter
Abstract
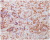
A 4-year-old English setter presented with a 1-week history of anorexia, lethargy and occasional vomiting. Blood analysis revealed moderate regenerative anaemia, mild monocytosis, thrombocytopaenia, hypoproteinaemia, hypoglobulinaemia, hypocholesterolaemia and increased C-reactive protein. On ultrasonography, the spleen had multifocal hypoechoic lesions. Fine needle aspirates from the spleen and liver showed marked extramedullary haematopoiesis, an increased number of histiocytes, haemosiderin deposits and erythrophagocytosis. A tentative diagnosis of haemophagocytic histiocytic sarcoma (HHS) was made, and the owners elected euthanasia. On autopsy, the liver and spleen were enlarged. The spleen had an uneven surface and a yellow-tan spotted appearance. Histologically, the red pulp was highly cellular and dominated by erythroid cells, as well as a population of larger polygonal cells and aggregates of histiocytes. HHS was confirmed by CD11d immunolabelling. This represents the first documented case of HHS in an English setter.
Keywords: HHS; anaemia; canine; immunohistochemistry; spleen.
© 2021 The Authors. Veterinary Medicine and Science published by John Wiley & Sons Ltd.
Conflict of interest statement
The authors declare no conflict of interest.
Figures



References
-
- Danilenko, D. M. , Moore, P. F. , & Rossitto, P. V. (1992). Canine leukocyte cell adhesion molecules (LeuCAMs): Characterization of the CD11/CD18 family. Tissue Antigens, 40(1), 13–21. - PubMed
-
- Danilenko, D. M. , Rossitto, P. V. , Van der Vieren, M. et al (1995). A novel canine leukointegrin, alpha d beta 2, is expressed by specific macrophage subpopulations in tissue and a minor CD8+ lymphocyte subpopulation in peripheral blood. The Journal of Immunology, 155(1), 35–44. - PubMed
Publication types
MeSH terms
LinkOut - more resources
Full Text Sources
Other Literature Sources
Research Materials