Diagnostic imaging in the diagnosis of acute complications of bariatric surgery
- PMID: 33758635
- PMCID: PMC7976234
- DOI: 10.5114/pjr.2021.104003
Diagnostic imaging in the diagnosis of acute complications of bariatric surgery
Abstract
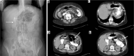
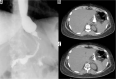
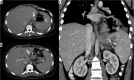
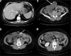
Purpose: The aim of study is to identify the frequency of acute complications and imaging findings at gastro-intestinal transit (GI) and computerised tomography (CT) in a group of obese patients who developed clinical suspicion of acute complications (painful and meteoric abdomen, nausea, vomiting, fever, intestinal blockage) in post bariatric surgery.
Material and methods: We retrospectively review 954 obese patients who underwent bariatric surgery between 2013 and 2019. The study included 72 patients who developed clinical suspicion of acute complications (painful and meteoric abdomen, nausea, vomiting, fever, intestinal blockage) within 6 days of bariatric surgery of sleeve gastrectomy, gastric banding, gastric bypass with Roux loop confirmed by CT, and who underwent a gastrointestinal transit before the CT examination.
Results: GI exam allowed visualisation of 58% of complications. Analysing the data for each surgical technique, 46 post-operative complications were found involve gastric banding. The most frequent was bandage migration (26 cases, 56 %), identified in all cases at GI transit and then confirmed on CT.
Conclusions: The study suggests that CT should be used to clarify all doubtful or clinically discordant GI transit exam results. The participation of a radiologist in qualification and post-operative evaluation is important for bariatric surgery patients.
Keywords: BMI; CT; GI transit X-ray; bariatric surgery; post-surgical complications; sleeve gastrectomy.
© Pol J Radiol 2021.
Conflict of interest statement
The authors report no conflict of interest.
Figures











References
-
- MacDonald KG Jr. Overview of the epidemiology of obesity and the early history of procedures to remedy morbid obesity. Arch Surg 2003; 138: 357-360. - PubMed
-
- Must A, Spadano J, Coackley EH, et al. . The disease burden associated with overweight and obesity. JAMA 1999; 282: 1523-1529. - PubMed
-
- Nguyen NT, Varela JE. Bariatric surgery for obesity and metabolic disorders: state of the art. Nat Rev Gastroenterol Hepatol 2017; 14: 160-169. - PubMed
LinkOut - more resources
Full Text Sources
Other Literature Sources