Update on Pulmonary Langerhans Cell Histiocytosis
- PMID: 33763431
- PMCID: PMC7982411
- DOI: 10.3389/fmed.2020.582581
Update on Pulmonary Langerhans Cell Histiocytosis
Abstract
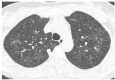
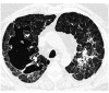
Pulmonary Langerhans cell (LC) histiocytosis (PLCH) has unknown cause and is a rare neoplastic disorder characterized by the infiltration of lungs and various organs by bone marrow-derived Langerhans cells with an accompanying strong inflammatory response. These cells carry somatic mutations of BRAF gene and/or NRAS, KRAS, and MAP2K1 genes, which cause activation of the mitogen-activated protein kinase (MAPK)/extracellular signal-regulated kinase (ERK) signaling pathway. PLCH occurs predominantly in young smokers, without gender predominance. Lungs might be involved as an isolated organ or as part of a multiorgan disease. High-resolution computed chest tomography plays an outstanding role in PLCH diagnosis. The typical radiological picture of PLCH is the presence of small intralobular nodules, "tree in bud" opacities, cavitated nodules, and thin- and thick-walled cysts, frequently confluent. Histological examination of the lesion and demonstration of characteristic eosinophilic granulomas with the presence of LCs that display antigen CD1a or CD207 in immunohistochemistry are required for definite diagnosis. Smoking cessation is the most important recommendation for PLCH patients, but treatment of progressive PLCH and multisystem disease is based on chemotherapy. Recently, new targeted therapies have been implemented.
Keywords: BRAF; MAPK; adults; lung; pulmonary Langerhans cell histiocytosis.
Copyright © 2021 Radzikowska.
Conflict of interest statement
The author declares that the research was conducted in the absence of any commercial or financial relationships that could be construed as a potential conflict of interest.
Figures






References
Publication types
LinkOut - more resources
Full Text Sources
Other Literature Sources
Research Materials
Miscellaneous