Post-discharge chest CT findings and pulmonary function tests in severe COVID-19 patients
- PMID: 33798931
- PMCID: PMC7980523
- DOI: 10.1016/j.ejrad.2021.109676
Post-discharge chest CT findings and pulmonary function tests in severe COVID-19 patients
Abstract
Purpose: To evaluate chest computed tomography (CT) and pulmonary function test (PFT) findings in severe COVID-19 patients after discharge and correlate CT pulmonary involvement with PFT results.
Methods: COVID-19 patients admitted to our hospital between February 25 and May 2, 2020, were retrospectively included according to the following criteria: (a) COVID-19 defined as severe based on the WHO interim guidance (i.e., clinical signs of pneumonia plus respiratory rate > 30 breaths/min, severe respiratory distress, and/or SpO2 < 90 % on room air); (b) chest radiograph in the acute setting; (c) post-discharge unenhanced chest CT; and (d) post-discharge comprehensive PFT. Imaging findings were retrospectively evaluated in consensus by two readers, and volume of abnormal lung was measured on CT using 3D Slicer software. Differences between demographics, comorbidities, acute radiographic findings, PFT, and post-discharge clinical and laboratory data of patients with normal and abnormal CT findings were assessed by Mann-Whitney or Fisher tests, and the compromised lung volume-PFT association by Pearson correlation after removing possible outliers.
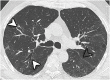
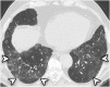
Results: At a median of 105 days from symptom onset, 74/91 (81 %) patients had CT abnormalities. The most common CT pattern was combined ground-glass opacity and reticular pattern (46/74, 62 %) along with architectural distortion (68/74, 92 %) and bronchial dilatation (66/74, 89 %). Compromised lung volume had a median value of 15 % [11-23], was higher in dyspneic patients, and negatively correlated with the percentage of predicted DLCO, VA, and FVC values (r = -0.39, -0.5, and -0.42, respectively). These PFT parameters were significantly lower in patients with CT abnormalities. Impairment of DLCO and KCO was found in 12 (13 %) cases, possibly implying an underlying pulmonary vasculopathy in this subgroup of patients.
Conclusions: Most severe COVID-19 survivors still had physiologically relevant CT abnormalities about three months after the disease onset, with an impairment of diffusion capacity on PFT. A pulmonary vasculopathy was suggested in a minor proportion of patients.
Keywords: COVID-19; Lung diseases; Respiratory function tests; Severe acute respiratory syndrome coronavirus 2; Survivors; Tomography.
Copyright © 2021 Elsevier B.V. All rights reserved.
Conflict of interest statement
The authors declare no conflict of interest.
Figures







References
-
- World Health Organization . 2020. WHO Coronavirus Disease (COVID-19) Dashboard.https://covid19.who.int Published on November 29.
-
- Guan W., Ni Z., Hu Y., Liang W., Ou C., He J., Liu L., Shan H., Lei C., Hui D.S.C., Du B., Li L., Zeng G., Yuen K.-Y., Chen R., Tang C., Wang T., Chen P., Xiang J., Zhong N. Clinical characteristics of coronavirus disease 2019 in China. N. Engl. J. Med. 2020;382(18):1708–1720. doi: 10.1056/NEJMoa2002032. - DOI - PMC - PubMed
-
- Yang X., Yu Y., Xu J., Shu H., Xia J., Liu H., Wu Y., Zhang L., Yu Z., Fang M., Yu T., Wang Y., Pan S., Zou X., Yuan S., Shang Y. Clinical course and outcomes of critically ill patients with SARS-CoV-2 pneumonia in Wuhan, China: a single-centered, retrospective, observational study. Lancet Respir. Med. 2020;8(5):475–481. doi: 10.1016/S2213-2600(20)30079-5. - DOI - PMC - PubMed
-
- Docherty A.B., Harrison E.M., Green C.A., Hardwick H.E., Pius R., Norman L., Holden K.A., Read J.M., Dondelinger F., Carson G., Merson L., Lee J., Plotkin D., Sigfrid L., Halpin S., Jackson C., Gamble C., Horby P.W., Nguyen-Van-Tam J.S., Semple M.G. Features of 20 133 UK patients in hospital with covid-19 using the ISARIC WHO Clinical Characterization Protocol: prospective observational cohort study. BMJ. m. 2020;1985 doi: 10.1136/bmj.m1985. - DOI - PMC - PubMed
MeSH terms
LinkOut - more resources
Full Text Sources
Other Literature Sources
Medical