MDM2 Amplified Sarcomas: A Literature Review
- PMID: 33799733
- PMCID: PMC8001728
- DOI: 10.3390/diagnostics11030496
MDM2 Amplified Sarcomas: A Literature Review
Abstract
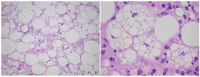
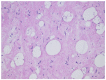
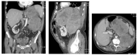
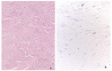
Murine Double Minute Clone 2, located at 12q15, is an oncogene that codes for an oncoprotein of which the association with p53 was discovered 30 years ago. The most important function of MDM2 is to control p53 activity; it is in fact the best documented negative regulator of p53. Mutations of the tumor suppressor gene p53 represent the most frequent genetic change in human cancers. By overexpressing MDM2, cancer cells have another means to block p53. The sarcomas in which MDM2 amplification is a hallmark are well-differentiated liposarcoma/atypical lipomatous tumor, dedifferentiated liposarcoma, intimal sarcoma, and low-grade osteosarcoma. The purpose of this review is to summarize the typical clinical, histopathological, immunohistochemical, and genetic features of these tumors.
Keywords: MDM2 amplification; dedifferentiated liposarcoma; intimal sarcoma low grade osteosarcoma; well-differentiated liposarcoma/atypical lipomatous tumor.
Conflict of interest statement
The author declares no conflict of interest.
Figures















References
-
- Dembla V., Somaiah N., Barata P., Hess K., Fu S., Janku F., Krap D.D., Naing A., Piha-Paul S.A., Subbiah V., et al. Prevalence of MDM2 amplification and coalterations in 523 advanced cancer patients in the MD Anderson phase 1 clinic. Oncotarget. 2018;9:33232–33243. doi: 10.18632/oncotarget.26075. - DOI - PMC - PubMed
-
- Kommoss F.E.K.F., Chang K.T.E., Stichel D., Banito A., Jones D.T.W., Heilig C.E., Fröhling S., Sahm F., Stenzinger A., Hartmann W., et al. Endometrial stromal sarcomas with BCOR-rearrangement harbor MDM2 amplifications. J. Pathol. Clin. Res. 2020;6:178–184. doi: 10.1002/cjp2.165. - DOI - PMC - PubMed
Publication types
LinkOut - more resources
Full Text Sources
Other Literature Sources
Research Materials
Miscellaneous