Advances in the Formulation and Assembly of Non-Cationic Lipid Nanoparticles for the Medical Application of Gene Therapeutics
- PMID: 33807086
- PMCID: PMC8004789
- DOI: 10.3390/nano11030825
Advances in the Formulation and Assembly of Non-Cationic Lipid Nanoparticles for the Medical Application of Gene Therapeutics
Abstract
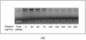
Lipid nanoparticles have become increasingly popular delivery platforms in the field of gene therapy, but bench-to-bedside success has been limited. Many liposomal gene vectors are comprised of synthetic cationic lipids, which are associated with lipid-induced cytotoxicity and immunogenicity. Natural, non-cationic PEGylated liposomes (PLPs) demonstrate favorable biocompatibility profiles but are not considered viable gene delivery vehicles due to inefficient nucleic acid loading and reduced cellular uptake. PLPs can be modified with cell-penetrating peptides (CPPs) to enhance the intracellular delivery of liposomal cargo but encapsulate leakage upon CPP-PLP assembly is problematic. Here, we aimed to identify parameters that overcome these performance barriers by incorporating nucleic acid condensers during CPP-PLP assembly and screening variable ethanol injection parameters for optimization. CPP-PLPs were formed with R8-amphiphiles via pre-insertion, post-insertion and post-conjugation techniques and liposomes were characterized for size, surface charge, homogeneity, siRNA encapsulation efficiency and retention and cell associative properties. Herein we demonstrate that pre-insertion of stearylated R8 into PLPs is an efficient method to produce non-cationic CPP-PLPs and we provide additional assembly parameter specifications for a modified ethanol injection technique that is optimized for siRNA encapsulation/retention and enhanced cell association. This assembly technique could provide improved clinical translation of liposomal based gene therapy applications.
Keywords: cell penetrating peptides; cellular uptake; gene therapy; lipid nanoparticles; non-cationic liposomes; non-viral gene delivery; siRNA encapsulation.
Conflict of interest statement
The authors declare no conflict of interest.
Figures















References
-
- Garg T., Goyal A.K. Liposomes: Targeted and controlled delivery system. Drug Deliv. Lett. 2014;4:62–71. doi: 10.2174/22103031113036660015. - DOI
LinkOut - more resources
Full Text Sources
Other Literature Sources
Research Materials