Two Cases of Natural Infection of Dengue-2 Virus in Bats in the Colombian Caribbean
- PMID: 33809400
- PMCID: PMC8005977
- DOI: 10.3390/tropicalmed6010035
Two Cases of Natural Infection of Dengue-2 Virus in Bats in the Colombian Caribbean
Abstract
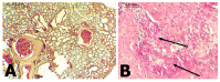
Dengue, a mosquito-borne zoonotic disease, is the most common vector-borne disease in tropical and subtropical areas. In this study, we aim to demonstrate biological evidence of dengue virus infection in bats. A cross-sectional study was carried out in the departments of Cordoba and Sucre, Colombia. A total of 286 bats were captured following the ethical protocols of animal experimentation. The specimens were identified and euthanized using a pharmacological treatment with atropine, acepromazine and sodium pentobarbital. Duplicate samples of brain, heart, lung, spleen, liver, and kidney were collected with one set stored in Trizol and the other stored in 10% buffered formalin for histopathological and immunohistochemical analysis using polyclonal antibodies. Brain samples from lactating mice with an intracranial inoculation of DENV-2 were used as a positive control. As a negative control, lactating mouse brains without inoculation and bats brains negative for RT-PCR were included. Tissue sections from each specimen of bat without conjugate were used as staining control. In a specimen of Carollia perspicillata captured in Ayapel (Cordoba) and Phylostomus discolor captured in San Carlos (Cordoba), dengue virus was detected, and sequences were matched to DENV serotype 2. In bats RT-PCR positive for dengue, lesions compatible with viral infections, and the presence of antigens in tissues were observed. Molecular findings, pathological lesions, and detection of antigens in tissues could demonstrate viral DENV-2 replication and may correspond to natural infection in bats. Additional studies are needed to elucidate the exact role of these species in dengue epidemics.
Keywords: antibodies; arbovirus; flavivirus; immunohistochemistry; pathology; zoonoses.
Conflict of interest statement
The authors declare that the research was conducted in the absence of any commercial or financial relationships that could be construed as a potential conflict of interest.
Figures
References
-
- Pan American Health Organization . In: Information Platform for the Americas. Pan American Health Organization, editor. PAHO; Washington, DC, USA: 2020. [(accessed on 18 January 2020)]. Available online: https://www.paho.org/hq/index.php?option=com_docman&view=download&catego....
-
- National Institute of Health (Colombia) In: Dengue Periodo Epidemiológico IX Colombia 2020. Ministerio de Salud, editor. National Institute of Health; Bogota, Colombia: 2020. [(accessed on 18 January 2020)]. Available online: - DOI
LinkOut - more resources
Full Text Sources
Other Literature Sources
Research Materials
