A description of novel variants and review of phenotypic spectrum in UBA5-related early epileptic encephalopathy
- PMID: 33811063
- PMCID: PMC8208045
- DOI: 10.1101/mcs.a005827
A description of novel variants and review of phenotypic spectrum in UBA5-related early epileptic encephalopathy
Abstract
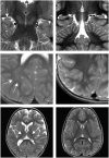
Early infantile epileptic encephalopathy-44 (EIEE44, MIM: 617132) is a previously described condition resulting from biallelic variants in UBA5, a gene involved in a ubiquitin-like post-translational modification system called UFMylation. Here we report five children from four families with biallelic pathogenic variants in UBA5 All five children presented with global developmental delay, epilepsy, axial hypotonia, appendicular hypertonia, and a movement disorder, including dystonia in four. Affected individuals in all four families have compound heterozygous pathogenic variants in UBA5 All have the recurrent mild c.1111G > A (p.Ala371Thr) variant in trans with a second UBA5 variant. One patient has the previously described c.562C > T (p. Arg188*) variant, two other unrelated patients have a novel missense variant, c.907T > C (p.Cys303Arg), and the two siblings have a novel missense variant, c.761T > C (p.Leu254Pro). Functional analyses demonstrate that both the p.Cys303Arg variant and the p.Leu254Pro variants result in a significant decrease in protein function. We also review the phenotypes and genotypes of all 15 previously reported families with biallelic UBA5 variants, of which two families have presented with distinct phenotypes, and we describe evidence for some limited genotype-phenotype correlation. The overlap of motor and developmental phenotypes noted in our cohort and literature review adds to the increasing understanding of genetic syndromes with movement disorders-epilepsy.
Keywords: central hypotonia; epileptic encephalopathy; generalized dystonia; limb hypertonia; profound global developmental delay; severe global developmental delay.
© 2021 Briere et al.; Published by Cold Spring Harbor Laboratory Press.
Figures



References
-
- Arnadottir GA, Jensson BO, Marelsson SE, Sulem G, Oddsson A, Kristjansson RP, Benonisdottir S, Gudjonsson SA, Masson G, Thorisson GA, et al. 2017. Compound heterozygous mutations in UBA5 causing early-onset epileptic encephalopathy in two sisters. BMC Med Genet 18: 103. 10.1186/s12881-017-0466-8 - DOI - PMC - PubMed
-
- Colin E, Daniel J, Ziegler A, Wakim J, Scrivo A, Haack TB, Khiati S, Denommé A-S, Amati-Bonneau P, Charif M, et al. 2016. Biallelic variants in UBA5 reveal that disruption of the UFM1 cascade can result in early-onset encephalopathy. Am J Hum Genet 99: 695–703. 10.1016/j.ajhg.2016.06.030 - DOI - PMC - PubMed
Publication types
MeSH terms
Substances
Supplementary concepts
Grants and funding
LinkOut - more resources
Full Text Sources
Other Literature Sources
Medical
Molecular Biology Databases