HRCT chest in COVID-19 patients: An initial experience from a private imaging center in western India
- PMID: 33814780
- PMCID: PMC7996681
- DOI: 10.4103/ijri.IJRI_405_20
HRCT chest in COVID-19 patients: An initial experience from a private imaging center in western India
Abstract
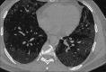
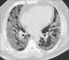
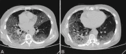
The COVID-19 pandemic began in late December in 2019 and has now reached to 216 countries with 1,08,42,028 confirmed cases and 5,21,277 deaths according to the WHO reports and 6,49,666 confirmed cases in india alone with 18,679 deaths (as on 04th july 2020). RT-PCR has been considered the standard test for diagnosis of COVID 19. However, there has been reported a high false negative rate. This high false negative rate increases the risk of further transmission as well as delays the timely management of suspected cases. We have conducted HRCT chest of various (200 patient case study) proven and suspected cases of COVID-19 infection in the months of April, May and June 2020. Out of 200 scanned patients with clinical complains and suspicion, positive HRCT chest findings were seen in 196 patients, showing clinical-radiological correlation and an accuracy of 98%. The sensitivity of chest CT in suggesting COVID-19 was 98.6% (146/148patients) based on positive RT-PCR results. In patients with negative RT-PCR results and high clinical suspicion, 90% (18/20) had positive chest CT findings. HRCT chest is very sensitive and accurate in picking up lung parenchymal abnormalities in laboratory negative RT-PCR cases with high clinical suspicion of COVID-19 infection and also in all symptomatic patients where RT-PCR was not done. HRCT can also be very sensitive, cost effective and time effective in screening patients with high clinical suspicion. HRCT scores over RT-PCR in giving immediate results, assessing severity of disease and prediction of prognosis. We suggest HRCT chest for detection of early parenchymal abnormalities, assessing severity of disease in all patients with clinical symptoms and suspicion of COVID infection irrespective of laboratory RT-PCR status.
Keywords: CT scan COVID-19; Diagnosis COVID-19; HRCT chest in COVID-19; Imaging in COVID-19; Radiology in COVID-19.
Copyright: © 2021 Indian Journal of Radiology and Imaging.
Conflict of interest statement
There are no conflicts of interest.
Figures







References
-
- World Health Organization. [Last accessed on 2020 Jul 04]. Available from: https://www.who.int/emergencies/diseases/novel-coronavirus-2019 .
-
- Ministry of health and family welfare. India. [Last accessed on 2020 Jul 04]. Available from: https://www.mohfw.gov.in/
-
- [Last accessed on 2020 Jul 04]. Centers for Disease Control and Prevention-national public health institute in the United States. Available from: https://www.cdc.gov/coronavirus/2019-ncov/symptoms-testing/symptoms.html .
-
- [Last accessed on 2020 Jul 04]. Mayoclinic. Available from: https://www.mayoclinic.org/diseases-conditions/coronavirus/symptoms-caus... .
Publication types
LinkOut - more resources
Full Text Sources
Other Literature Sources
Miscellaneous