Giant Gastrointestinal Stromal Tumors of the Stomach Successfully Treated With Laparoscopic Resection: Case Report and Literature Review
- PMID: 33815988
- PMCID: PMC8009453
- DOI: 10.7759/cureus.13584
Giant Gastrointestinal Stromal Tumors of the Stomach Successfully Treated With Laparoscopic Resection: Case Report and Literature Review
Abstract
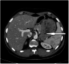
The stomach is the most common site of gastrointestinal stromal tumors (GISTs), representing 60% to 70% of all GIST tumors of the gastrointestinal tract. Gastric GISTs are usually asymptomatic discovered incidentally during endoscopic or radiological investigations. A small percentage may present with melena, hematemesis, and anemia due to recurrent bleeding. We report a case of a giant gastric GIST presented with anemia, that successfully treated with laparoscopic resection.
Keywords: gastrointestinal stromal tumors; laparoscopic resection; open resection.
Copyright © 2021, Mohamed et al.
Conflict of interest statement
The authors have declared that no competing interests exist.
Figures



References
-
- Gastrointestinal stromal tumor. Rubin BP, Heinrich MC, Corless CL. Lancet. 2007;369:1731–1741. - PubMed
-
- Gastrointestinal stromal tumors--definition, clinical, histological, immunohistochemical, and molecular genetic features and differential diagnosis. Miettinen M, Lasota J. Virchows Arch. 2001;438:1–12. - PubMed
-
- Gastrointestinal stromal tumors (GISTs): definition, occurrence, pathology, differential diagnosis, and molecular genetics. Miettinen M, Lasota J. https://pubmed.ncbi.nlm.nih.gov/12817876/ Pol J Pathol. 2003;54:3–24. - PubMed
-
- A novel monoclonal antibody against DOG1 is a sensitive and specific marker for gastrointestinal stromal tumors. Espinosa I, Lee CH, Kim MK, et al. Am J Surg Pathol. 2008;32:210–218. - PubMed
Publication types
LinkOut - more resources
Full Text Sources
Other Literature Sources