Hypovolemic shock induced by a large chest wall hematoma caused by a single rib fracture in an elderly patient
- PMID: 33816742
- PMCID: PMC8010857
- DOI: 10.1016/j.tcr.2021.100459
Hypovolemic shock induced by a large chest wall hematoma caused by a single rib fracture in an elderly patient
Erratum in
- 
  
  Erratum regarding missing patient consent statement in previously published articles.Trauma Case Rep. 2023 Mar 1;45:100811. doi: 10.1016/j.tcr.2023.100811. eCollection 2023 Jun. Trauma Case Rep. 2023. PMID: 37234579 Free PMC article.
Abstract
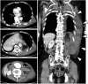
Displaced rib fractures can injure intercostal vessels leading to chest wall hematomas. As the bleeding occurs within the vessel, compression of the vessel wall helps in preventing further bleeding. Therefore, chest wall hematomas rarely result in shock. A thin 78-year-old man transferred to the emergency department with complaints of left dorsal pain due to an injury. He had a history of hypertension and aorta dissection. He arrived at the ED in a state of shock and presented with a large left dorsal wall mass. Subsequent imaging using computed tomography angiography revealed a large hyperdense hematoma at the left dorsal-flank wall along with rib fracture (11th intercostal artery). Moreover, a large fusiform aneurysm was detected from the abdominal aorta to the iliac arteries. Extravasation of the contrast agent was detected at the branch of the 11th intercostal artery, and hence, embolization was performed. The dermis, which comprises collagen and elastin fibers, plays an important role in vessel compression to prevent bleeding. The aortic media also comprises collagen and elastin fibers. Cell turnover, loss of collagen, and excessive elastolysis are associated with the formation of abdominal aortic aneurysms. The systemic degeneration of connecting tissue (collagen and elastin fiber) appears to be progress in patients with an aortic aneurysms and history of aortic dissection compared with other healthy older individuals. Physicians should be cognizant of the potential unexpected large hematoma complications if a risk of systemic connecting tissue degradation exists, as seen in patients with aortic aneurysm or aortic dissection.
Keywords: Chest wall hematoma; Collagen; Degeneration; Elastin fiber; Elderly; Rib fracture.
© 2021 The Author(s).
Conflict of interest statement
The authors have no conflicts of interest to declare.
Figures
 
              
              
              
              
                
                
                 
              
              
              
              
                
                
                 
              
              
              
              
                
                
                References
Publication types
LinkOut - more resources
- Full Text Sources
- Other Literature Sources
- Research Materials
 
        