Neurologic Findings Among Inpatients With COVID-19 at a Safety-net US Hospital
- PMID: 33842075
- PMCID: PMC8032445
- DOI: 10.1212/CPJ.0000000000001031
Neurologic Findings Among Inpatients With COVID-19 at a Safety-net US Hospital
Abstract
Objective: To characterize the breadth of neurologic findings associated with severe acute respiratory syndrome coronavirus 2 (SARS-CoV-2) infection in a diverse group of inpatients at an urban, safety-net US medical center.
Methods: Patients were identified through an electronic medical record review from April 15, 2020, until July 1, 2020, at a large safety-net hospital in Boston, MA, caring primarily for underserved, low-income, and elderly patients. All hospitalized adult patients with positive nasopharyngeal swab or respiratory PCR testing for SARS-CoV-2 during their hospitalization or in the 30 days before admission who received an inpatient neurologic or neurocritical care consultation or admission during the study period were enrolled.
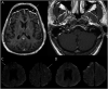
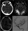
Results: Seventy-four patients were identified (42/57% male, median age 64 years). The majority of patients self-identified as Black or African American (38, 51%). The most common neurologic symptoms at presentation to the hospital included altered mental status (39, 53%), fatigue (18, 24%), and headache (18, 18%). Fifteen patients had ischemic strokes (20%). There were 10 in-hospital mortalities, with moderately severe disability among survivors at discharge (14%, median modified Rankin Scale score of 4).
Conclusions: Neurologic findings spanned inflammatory, vascular pathologies, sequelae of critical illness and metabolic derangements, possible direct involvement of the nervous system by SARS-CoV-2, and exacerbation of underlying neurologic conditions, highlighting a broad range of possible etiologies of neurologic complications in patients with coronavirus disease 2019 (COVID-19). Further studies are needed to characterize the infectious and postinfectious neurologic complications of COVID-19 in diverse patient populations.
© 2020 American Academy of Neurology.
Figures
 
              
              
              
              
                
                
                 
              
              
              
              
                
                
                References
Grants and funding
LinkOut - more resources
- Full Text Sources
- Miscellaneous
