Pediatric giant cell reparative granuloma of the lower clivus: A case report and review of the literature
- PMID: 33850388
- PMCID: PMC8035581
- DOI: 10.4103/jcvjs.JCVJS_182_20
Pediatric giant cell reparative granuloma of the lower clivus: A case report and review of the literature
Abstract
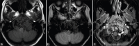
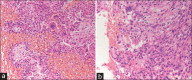
Giant cell reparative granuloma (GCRG) is a benign nonneoplastic granulomatous lesion and is rare in the cranial bone. We present a pediatric case of this lesion arising from the condyle and lower clivus. A 9-year-old girl presented with slowly progressive hoarseness and dysphagia. She showed left glossopharyngeal, vagus, and hypoglossal nerve palsy. An osteolytic lesion around the lower clivus and condyle joint was accompanied by deformation of the craniovertebral junction. An endoscopic endonasal approach was used to decompress the cranial nerve and confirm the pathological finding. The lesion around the condyle was not resected to preserve occipito-cervical stability. The residual lesion has been observed carefully for 6 months, and regrowth has not occurred. GCRG is a rare granulomatous lesion in the cranial bone. This case is the first report of a pediatric clival GCRG. Treating pediatric GCRG may be helpful.
Keywords: Giant cell reparative granuloma; lower clivus; pediatric case.
Copyright: © 2021 Journal of Craniovertebral Junction and Spine.
Conflict of interest statement
There are no conflicts of interest.
Figures





References
-
- Bayar MA, Erdem Y, Gokcek C, Koktekir E, Kilic C, Yasitli U, et al. Giant cell reparative granuloma of the axis. Turk Neurosurg. 2009;19:423–7. - PubMed
-
- Jaffe HL. Giant-cell reparative granuloma, traumatic bone cyst, and fibrous (fibro-osseous) dysplasia of the jawbones. Oral Surg. 1953;9:159–75. - PubMed
-
- Colclasure JB, Shea MC, Graham SS. Giant cell lesions of the temporal bone. Am J Otol. 1981;2:188–92. - PubMed
-
- Maruno M, Yoshimine T, Kubo T, Hayakawa T. A case of giant cell reparative granuloma of the petrous bone: Demonstration of the proliferative component. Surg Neurol. 1997;48:64–8. - PubMed
Publication types
LinkOut - more resources
Full Text Sources
Other Literature Sources