Point of care ultrasound facilitated diagnosis of right ventricular mass as the etiology of syncope; A case report of intravenous leiomyomatosis
- PMID: 33854666
- PMCID: PMC8026911
- DOI: 10.1016/j.radcr.2021.02.062
Point of care ultrasound facilitated diagnosis of right ventricular mass as the etiology of syncope; A case report of intravenous leiomyomatosis
Abstract
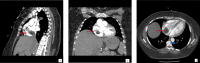
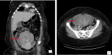
Syncope is a common emergency department (ED) chief complaint. Rarely, syncope can be the result of right ventricular outflow obstruction from an intracardiac tumor, such as an intracardiac extension of intravenous leiomyomatosis (IVL). Typically, this type of tumor is confined to the pelvic veins, but in very rare cases, it can extend through the inferior vena cava into the right atrium. Point-of-care ultrasound (POCUS) can be a crucial tool in the ED for identifying intracardiac tumors presenting as syncope and expediting clinical management. We present the case of a 39-year-old female with no prior medical history that presented to the ED having experienced dyspnea on exertion and two syncopal episodes prior to ED admission. POCUS use in the ED elucidated the presence of a right atrial mass and further imaging showed a mass on the patient's uterus. After surgical removal of a portion of the atrial mass, a subsequent biopsy revealed it had leiomyoma-like features; as such, the patient was diagnosed with IVL. This case illustrates the importance of using POCUS in the ED to help determine the etiology of syncope. Although intracardiac extensions of IVL are rare, it is important for emergency physicians to keep this diagnosis in the differential in patients with symptoms or risk factors suggestive of IVL with intracardiac extension.
Keywords: Intracardiac tumors; Intravenous leiomyomatosis; Point-of-care ultrasound; Syncope differential; Syncope etiology.
© 2021 The Authors. Published by Elsevier Inc. on behalf of University of Washington.
Figures




References
Publication types
LinkOut - more resources
Full Text Sources
Other Literature Sources