Use of glue embolization in management of traumatic bile leak: A case report
- PMID: 33855156
- PMCID: PMC8024764
- DOI: 10.1016/j.tcr.2021.100468
Use of glue embolization in management of traumatic bile leak: A case report
Erratum in
-
Erratum regarding missing Declaration of Competing Interest statements in previously published articles.Trauma Case Rep. 2023 Feb 17;45:100795. doi: 10.1016/j.tcr.2023.100795. eCollection 2023 Jun. Trauma Case Rep. 2023. PMID: 37234573 Free PMC article.
-
Erratum regarding missing patient consent statement in previously published articles.Trauma Case Rep. 2023 Mar 1;45:100812. doi: 10.1016/j.tcr.2023.100812. eCollection 2023 Jun. Trauma Case Rep. 2023. PMID: 37234588 Free PMC article.
Abstract
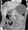
Blunt abdominal trauma is a common cause of solid organ injury in children. Nonoperative management has been established as the standard of care for suspected liver and spleen injuries without peritonitis. Major ductal injury with resultant biloma is a rare complication of nonoperative management of blunt liver injury. Endoscopic retrograde cholangiopancreatography (ERCP) and/or percutaneous drain placement are considered to be safe adjuncts in the management of these bile leaks. However, in the rare cases of persistent bile leak, further nonoperative alternatives have not been reported. In this case report we present a novel multidisciplinary approach to managing persistent bile leaks in blunt liver injury.
Keywords: Bile leak; Blunt abdominal trauma; Liver injury; Nonoperative management; Pediatric injury.
© 2021 The Authors. Published by Elsevier Ltd.
Figures




References
-
- Control NCfIPa. Injury prevention & control. https://www.cdc.gov/injury/wisqars/LeadingCauses.html. Published 2018. (Accessed).
-
- Moore E.E., Shackford S.R., Pachter H.L. Organ injury scaling: spleen, liver, and kidney. J. Trauma. 1989;29(12):1664–1666. - PubMed
-
- Notrica D.M., Eubanks J.W., 3rd, Tuggle D.W. Nonoperative management of blunt liver and spleen injury in children: evaluation of the ATOMAC guideline using GRADE. J. Trauma Acute Care Surg. 2015;79(4):683–693. - PubMed
-
- Giss S.R., Dobrilovic N., Brown R.L., Garcia V.F. Complications of nonoperative management of pediatric blunt hepatic injury: diagnosis, management, and outcomes. J. Trauma. 2006;61(2):334–339. - PubMed
-
- Kulaylat A.N., Stokes A.L., Engbrecht B.W., McIntyre J.S., Rzucidlo S.E., Cilley R.E. Traumatic bile leaks from blunt liver injury in children: a multidisciplinary and minimally invasive approach to management. J. Pediatr. Surg. 2014;49(3):424–427. - PubMed
Publication types
LinkOut - more resources
Full Text Sources
Other Literature Sources