Skip to main page content
U.S. flag

An official website of the United States government

Dot gov

The .gov means it’s official.
Federal government websites often end in .gov or .mil. Before sharing sensitive information, make sure you’re on a federal government site.

Https

The site is secure.
The https:// ensures that you are connecting to the official website and that any information you provide is encrypted and transmitted securely.

Access keys NCBI Homepage MyNCBI Homepage Main Content Main Navigation
. 2021 Jan;11(1):93-94.
doi: 10.1177/1941874420954740. Epub 2020 Sep 11.

Pseudo-Subarachnoid Hemorrhage

Affiliations

Pseudo-Subarachnoid Hemorrhage

Meabh O'Hare et al. Neurohospitalist. 2021 Jan.
No abstract available

Keywords: brain; hypoxia-ischemia; imaging; neurocritical care; neurohospitalist; pseudosubarachnoid hemorrhage.

PubMed Disclaimer

Conflict of interest statement

Declaration of Conflicting Interests: The authors declared no potential conflicts of interest with respect to the research, authorship, and/or publication of this article.

Figures

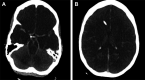
Figure 1.
Figure 1.
Non-contrast CT head demonstrating increased attenuation in cortical sulci and within the major cisterns mimicking the appearance of diffuse subarachnoid hemorrhage. The underlying parenchyma is seen to be diffusely edematous and hypoattenuated due to global hypoxic-ischemic injury.

References

    1. Yuzawa H, Higano S, Mugikura S, et al. Pseudo-subarachnoid hemorrhage found in patients with post resuscitation encephalopathy: characteristics of CT findings and clinical importance. Am J Neuro. 2008;29(8):1544–1549. - PMC - PubMed
    1. Given CA, Burdette JH, Elster AD, et al. Pseudo-subarachnoid hemorrhage: a potential imaging pitfall associated with diffuse cerebral edema. Ame J Neuro. 2003;24(2):254. - PMC - PubMed
    1. Choi KS, Won YD, Yi HJ, Tae Ho L, Young-Jun L, Hyoung Joon C. Therapeutic and prognostic implications of subarachnoid hemorrhage in patients who suffered cardiopulmonary arrest and underwent cardiopulmonary resuscitation during an emergency room stay. Clin Neuro Neurosurg. 2013;115(10):2088–2093. doi:10.1016/j.clineuro.2013.07.024 - PubMed