Craniofacial Trauma and Vascular Injury
- PMID: 33883801
- PMCID: PMC8049762
- DOI: 10.1055/s-0041-1724012
Craniofacial Trauma and Vascular Injury
Abstract
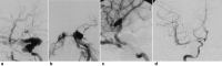
Cerebrovascular injury is a potentially devastating outcome following craniofacial trauma. Interventional radiologists play an important role in detecting, grading, and treating the different types of vascular injury. Computed tomography angiography plays a significant role in the detection of these injuries. Carotid-cavernous fistulas, extra-axial hematomas, pseudoaneurysms, and arterial lacerations are rare vessel injuries resulting from craniofacial trauma. If left untreated, these injuries can lead to vessel rupture and hemorrhage into surrounding areas. Acute management of these vessel injuries includes early identification with angiography and treatment with endovascular embolization. Endovascular therapy resolves vessel abnormalities and reduces the risk of vessel rupture and associated complications.
Keywords: arterial dissections; carotid-cavernous fistulas; craniofacial trauma; extra-axial hematomas; interventional radiology; pseudoaneurysms.
Thieme. All rights reserved.
Conflict of interest statement
Conflict of Interest None declared.
Figures







References
-
- Gean A, Le T, Mutch C. Lippincott Williams & Wilkins; 2019. Craniofacial trauma; pp. 49–76.
-
- Inaba K, Munera F, McKenney M. Prospective evaluation of screening multislice helical computed tomographic angiography in the initial evaluation of penetrating neck injuries. J Trauma. 2006;61(01):144–149. - PubMed
-
- Munera F, Danton G, Rivas L A, Henry R P, Ferrari M G. Multidetector row computed tomography in the management of penetrating neck injuries. Semin Ultrasound CT MR. 2009;30(03):195–204. - PubMed
Publication types
Grants and funding
LinkOut - more resources
Full Text Sources
Other Literature Sources