Head and neck radiotherapy on the MR linac: a multicenter planning challenge amongst MRIdian platform users
- PMID: 33891126
- PMCID: PMC8604891
- DOI: 10.1007/s00066-021-01771-8
Head and neck radiotherapy on the MR linac: a multicenter planning challenge amongst MRIdian platform users
Abstract
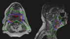
Purpose: Purpose of this study is to evaluate plan quality on the MRIdian (Viewray Inc., Oakwood Village, OH, USA) system for head and neck cancer (HNC) through comparison of planning approaches of several centers.
Methods: A total of 14 planners using the MRIdian planning system participated in this treatment challenge, centrally organized by ViewRay, for one contoured case of oropharyngeal carcinoma with standard constraints for organs at risk (OAR). Homogeneity, conformity, sparing of OARs, and other parameters were evaluated according to The International Commission on Radiation Units and Measurements (ICRU) recommendations anonymously, and then compared between centers. Differences amongst centers were assessed by means of Wilcoxon test. Each plan had to fulfil hard constraints based on dose-volume histogram (DVH) parameters and delivery time. A plan quality metric (PQM) was evaluated. The PQM was defined as the sum of 16 submetrics characterizing different DVH goals.
Results: For most dose parameters the median score of all centers was higher than the threshold that results in an ideal score. Six participants achieved the maximum number of points for the OAR dose parameters, and none had an unacceptable performance on any of the metrics. Each planner was able to achieve all the requirements except for one which exceeded delivery time. The number of segments correlated to improved PQM and inversely correlated to brainstem D0.1cc and to Planning Target Volume1 (PTV) D0.1cc. Total planning experience inversely correlated to spinal canal dose.
Conclusion: Magnetic Resonance Image (MRI) linac-based planning for HNC is already feasible with good quality. Generally, an increased number of segments and increasing planning experience are able to provide better results regarding planning quality without significantly prolonging overall treatment time.
Keywords: Low field magnetic resonance imaging; MR-adaptive treatment planning; MR-guided radiation therapy; Step-and-shoot IMRT; Treatment plan comparison.
© 2021. The Author(s).
Conflict of interest statement
M. Chamberlain, J. Krayenbuehl, J. E. van Timmeren, L. Wilke, N. Andratschke, H. Garcia Schüler, S. Tanadini-Lang, M. Guckenberger, and P. Balermpas declare that they have no competing interests.
Figures






References
Publication types
MeSH terms
LinkOut - more resources
Full Text Sources