Unusual Cutaneous Metastases From Colon Adenocarcinoma
- PMID: 33898148
- PMCID: PMC8062121
- DOI: 10.7759/cureus.14065
Unusual Cutaneous Metastases From Colon Adenocarcinoma
Abstract
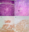
Skin metastases from internal malignancies are rare, even more from colorectal tumours, and are usually a sign of disseminated disease with a poor prognosis. However, with increased numbers of cancer survivors, a high index of suspicion should exist during the evaluation of cutaneous lesions since it can be the initial sign of disease progression or even the first sign that triggers a malignancy diagnosis, potentially improving the patient's odds. Herein, we report a case of synchronous cutaneous metastases from colon adenocarcinoma with unusual localization on the back and forearm of a 65-year-old man.
Keywords: colorectal adenocarcinoma; cutaneous metastasis; skin metastasis.
Copyright © 2021, Correia et al.
Conflict of interest statement
The authors have declared that no competing interests exist.
Figures



References
-
- Cutaneous metastasis of internal tumors. Choate E, Nobori A, Worswick S. Dermatol Clin. 2019 Oct;37:545–554. - PubMed
-
- Cutaneous mestastases of visceral tumours: a review. Nashan D, Müller ML, Braun-Falco M, Reichenberger S, Szeimies RM, Bruckner-Tuderman L. J Cancer Res Clin Oncol. 2009;135:1–14. - PubMed
-
- Unusual cutaneous metastatic carcinoma. Ruiz S, Salihi S, Prietto V, et al. Ann Diagn Pathol. 2019;43:151399. - PubMed
Publication types
LinkOut - more resources
Full Text Sources
Other Literature Sources