Neurofibromatosis Type 1 With Cherubism-like Phenotype, Multiple Osteolytic Bone Lesions of Lower Extremities, and Alagille-syndrome: Case Report With Literature Survey
- PMID: 33910856
- PMCID: PMC8193341
- DOI: 10.21873/invivo.12431
Neurofibromatosis Type 1 With Cherubism-like Phenotype, Multiple Osteolytic Bone Lesions of Lower Extremities, and Alagille-syndrome: Case Report With Literature Survey
Abstract
Background/aim: Neurofibromatosis type 1 (NF) is an autosomal dominant hereditary disease. The cardinal clinical findings include characteristic skeletal alterations. Difficulties in diagnosis and therapy can arise if an individual has further illnesses.
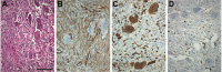
Case report: This is a case report of a 16-year-old patient affected by NF1. She also suffered from Alagille syndrome and the consequences of fetal alcohol exposure. The patient's facial phenotype showed findings that could be assigned to one or more of the known diseases. The patient was referred for treating a cherubism-like recurrent central giant cell granuloma (CGCG) of the jaw. The patient developed bilateral, multilocular non-ossifying fibromas (NOF) of the long bones of the lower extremity. Treatment of the skeletal lesions consisted of local curettage. While NOF regressed after surgery, the CGCG of the jaw remained largely unchanged. Extensive genetic tests confirmed a previously unknown germline mutation in the JAG1 gene, the germline mutation of the NF1 gene, and the somatic mutation in the NF1 gene in the diffuse plexiform neurofibroma, but not in the CGCG.
Conclusion: Assigning facial findings to a defined syndrome is ambiguous in many cases and especially difficult in patients who have multiple diseases that can affect the facial phenotype. Surgical therapy should be adapted to the individual findings.
Keywords: Alagille syndrome; Jaffe-Campanacci syndrome; Neurofibromatosis type 1; central giant cell granuloma; central giant cell lesion; cherubism; non-ossifying fibroma; root resorption.
Copyright© 2021, International Institute of Anticancer Research (Dr. George J. Delinasios), All rights reserved.
Conflict of interest statement
The Authors declare that there are no conflicts of interest regarding the publication presented.
Figures








References
-
- Riccardi VM. The Johns Hopkins University Press, Baltimore. 1992. Neurofibromatosis, phenotype, natural history, and pathogenesis. 2nd Edition; p. pp. 157.
Publication types
MeSH terms
LinkOut - more resources
Full Text Sources
Other Literature Sources
Medical
Research Materials
Miscellaneous