Successful heart transplantation for COVID-19-associated post-infectious fulminant myocarditis
- PMID: 33934560
- PMCID: PMC8239812
- DOI: 10.1002/ehf2.13326
Successful heart transplantation for COVID-19-associated post-infectious fulminant myocarditis
Abstract
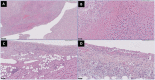
Various clinical presentations of the 2019 coronavirus disease (COVID-19) have been described, including post-infectious acute and fulminant myocarditis. Here, we describe the case of a young patient admitted for COVID-19-associated post-infectious fulminant myocarditis. Despite optimal pharmacologic management, haemodynamic status worsened requiring support by veno-arterial extracorporeal membrane oxygenation. Emergent heart transplantation was required at Day 11 given the absence of cardiac function improvement. The diagnosis of post-infectious COVID-19-associated myocarditis was made from both pathologic examination of the explanted heart and positive SARS-CoV-2 serology.
Keywords: COVID-19; Cardiogenic shock; Extracorporeal membrane oxygenation; Fulminant myocarditis; Heart transplantation.
© 2021 The Authors. ESC Heart Failure published by John Wiley & Sons Ltd on behalf of European Society of Cardiology.
Conflict of interest statement
None declared.
Figures




References
-
- Clerkin KJ, Fried JA, Raikhelkar J, Sayer G, Griffin JM, Masoumi A, Jain SS, Burkhoff D, Kumaraiah D, Rabbani L, Schwartz A, Uriel N. COVID‐19 and cardiovascular disease. Circulation 2020; 141: 1648–1655. - PubMed
-
- Hékimian G, Kerneis M, Zeitouni M, Cohen‐Aubart F, Chommeloux J, Bréchot N, Mathian A, Lebreton G, Schmidt M, Hié M, Silvain J, Chambrun MP, de Haroche J, Burrel S, Marot S, Luyt C‐E, Leprince P, Amoura Z, Montalescot G, Redheuil A, Combes A. COVID‐19 acute myocarditis and multisystem inflammatory syndrome in adult intensive and cardiac care units. Chest 2020. Published online ahead of print 07 September 2020. - PMC - PubMed
-
- Centers for Disease Control and Prevention . Interim guidelines for collecting, handling, and testing clinical specimens from persons for coronavirus disease 2019 (COVID‐19). 2020. Available at: https://www.cdc.gov/coronavirus/2019-ncov/lab/guidelines-clinical-specim.... Accessed 11th July 2020.
Publication types
MeSH terms
LinkOut - more resources
Full Text Sources
Medical
Miscellaneous