Skip to main page content
U.S. flag

An official website of the United States government

Dot gov

The .gov means it’s official.
Federal government websites often end in .gov or .mil. Before sharing sensitive information, make sure you’re on a federal government site.

Https

The site is secure.
The https:// ensures that you are connecting to the official website and that any information you provide is encrypted and transmitted securely.

Access keys NCBI Homepage MyNCBI Homepage Main Content Main Navigation
Case Reports
. 2021 Mar 30;13(3):e14194.
doi: 10.7759/cureus.14194.

Adenovirus-Associated Disseminated Intravascular Coagulation

Affiliations
Case Reports

Adenovirus-Associated Disseminated Intravascular Coagulation

Syed Ather Hussain et al. Cureus. .

Abstract

A 21-year-old previously healthy Caucasian female presented to the emergency department (ED) in the pre-COVID-19 era for evaluation of thrombocytopenia after a flu-like illness. The patient reported fever, cough, headache and myalgias for one week. She was on oral contraceptive pills (OCPs) for five years but discontinued one week ago. She was found to be in disseminated intravascular coagulation (DIC) and her hospital course was complicated by intraparenchymal hemorrhage, deep vein thrombus (DVT) in the right arm veins, bilateral pulmonary embolus (PE) and multiple splenic infarcts. An extensive workup was negative but nasopharyngeal swab came back positive for adenovirus by polymerase chain reaction (PCR).

Keywords: adenovirus; coagulopathy; disseminated intravascular coagulation; ocps.

PubMed Disclaimer

Conflict of interest statement

The authors have declared that no competing interests exist.

Figures

Figure 1
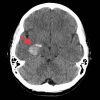
Figure 1. Intraparenchymal bleed in the medial right temporal lobe measuring 2.2 cm in diameter without midline shift
Figure 2
Figure 2. Large area of consolidation in the right lower lobe with patchy airspace opacification in the left lower lobe
Figure 3
Figure 3. Small amount of pulmonary artery embolus in the lobar branch of the left lower lobe and in the right lower lobe
Figure 4
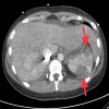
Figure 4. Multiple peripheral wedge-shaped infarcts in the spleen

References

    1. Adenovirus infections in immunocompetent and immunocompromised patients. Lion T. Clin Microbiol Rev. 2014;27:441–462. - PMC - PubMed
    1. Fatal disseminated adenovirus infections in immunocompromised patients. Pham TT, Burchette Jr JL, Hale LP. Am J Clin Pathol. 2003;120:575–583. - PubMed
    1. Disseminated intravascular coagulation in infectious disease. Levi M, Schultz M, van der Poll T. Semin Thromb Hemost. 2010;36:367–377. - PubMed
    1. Emerging evidence of a COVID-19 thrombotic syndrome has treatment implications. Merrill JT, Erkan D, Winakur J, James JA. Nat Rev Rheumatol. 2020;16:581–589. - PMC - PubMed

Publication types

LinkOut - more resources