Three pediatric patients with primary hyperparathyroidism caused by parathyroid adenoma
- PMID: 34015897
- PMCID: PMC9260372
- DOI: 10.6065/apem.2142006.003
Three pediatric patients with primary hyperparathyroidism caused by parathyroid adenoma
Abstract
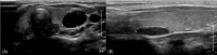
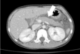
Primary hyperparathyroidism (PHPT) is a hypercalcemia disorder with inappropriately normal or increased serum parathyroid hormone (PTH) levels resulting from excessive secretion of PTH from one or more of the parathyroid glands. PHPT is uncommon in infants and children, with an estimated incidence of 2-5 cases per 100,000 persons. Patients with PHPT usually present with bone pain, urolithiasis, or nephrolithiasis, as well as nonspecific symptoms such as fatigue and weakness. Asymptomatic hypercalcemia may also be detected incidentally. Only a few cases of pediatric PHPT have been reported in Korea. We present three patients (a 9-year-old girl, a 14-year-old boy, and a 14-year-old girl) with PHPT who manifested variable clinical features of hypercalcemia. The first and second patients each had a parathyroid adenoma and presented with abdominal pain caused by pancreatitis and a ureter stone, respectively. The third patient had an ectopic mediastinal parathyroid adenoma and presented with gait disturbance and weakness of the lower extremities. All of the patients underwent surgical resection of parathyroid adenoma, and their serum calcium levels subsequently normalized without medication.
Keywords: Hypercalcemia; Hyperparathyroidism; Parathyroid adenoma.
Conflict of interest statement
No potential conflict of interest relevant to this article was reported.
Figures
References
-
- Akerstrom G, Hellman P, Hessman O, Segersten U, Westin G. Parathyroid glands in calcium regulation and human disease. Ann N Y Acad Sci. 2005;1040:53–8. - PubMed
-
- Goltzman D, Mannstadt M, Marcocci C. Physiology of the calcium-parathyroid hormone-vitamin D axis. Front Horm Res. 2018;50:1–13. - PubMed
-
- Stack BC, Bodenner D, editors. Medical and surgical treatment of parathyroid diseases: an evidence-based approach. Cham (Switzerland): Springer International Publishing; 2017. pp. 593–604.
Publication types
Grants and funding
LinkOut - more resources
Full Text Sources
Other Literature Sources
