Aggressive Presentation of Streptococcus constellatus
- PMID: 34017651
- PMCID: PMC8128152
- DOI: 10.7759/cureus.14534
Aggressive Presentation of Streptococcus constellatus
Abstract
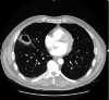
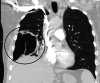
The Streptococcus anginosus group (SAG) consists of three bacteria (Streptococcus intermedius, Streptococcus constellatus, and Streptococcus anginosus) that are known commensals of the upper respiratory, digestive, and reproductive tracts. While a rare occurrence, these bacteria have the capability of causing devastating pyogenic infections and ensuing abscess formations. It is often difficult to distinguish this group as a contaminant or the offending organism (as it is often cultured in respiratory specimens); therefore, it is important to understand the risk factors, clinical presentation, and diagnostic findings that can provide a more accurate picture to identify the organism. Published literature pertaining to the SAG group has rarely documented any invasive surgical intervention that was undertaken for treatment. We describe a case of a 59-year-old male who presented for persistent chest pain and profuse productive cough weeks after he was diagnosed with a left lower extremity deep vein thrombosis and right-sided pulmonary embolism. The patient was found to have a rapidly evolving Streptococcus constellatus right middle lobe lung abscess complicated by a right hemithorax empyema. Management included an exploration of the right chest, decortication, parietal pleurectomy, and partial excision of the right middle lobe. Subsequently, the patient completed four weeks of antibiotics with ertapenem.
Keywords: deep vein thrombosis (dvt); prolonged antibiotics; pulmonary decortication; streptococcus constellatus.
Copyright © 2021, Vulisha et al.
Conflict of interest statement
The authors have declared that no competing interests exist.
Figures





References
-
- Thoracic infection caused by Streptococcus milleri. Porta G, Rodriguez-Carballeira M, Gomez L, Salavert M, Freixas N, Xercavins M, Garau J. Eur Respir J. 1998;12:357–362. - PubMed
-
- Invasive streptococcal disease: a review for clinicians. Parks T, Barrett L, Jones N. Br Med Bull. 2015;115:77–89. - PubMed
-
- A mechanism of pathogenicity of "Streptococcus milleri group" in pulmonary infection: synergy with an anaerobe. Shinzato T, Saito A. J Med Microbiol. 1994;40:118–123. - PubMed
Publication types
LinkOut - more resources
Full Text Sources
Other Literature Sources