Cecum perforation due to a fish bone
- PMID: 34055361
- PMCID: PMC8143667
- DOI: 10.1093/omcr/omab025
Cecum perforation due to a fish bone
Abstract
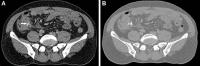
Foreign body (FB) ingestion is a common condition encountered in clinical practice, especially among the pediatric age group; however, this occurrence is rare among adults. Some FBs can induce the perforation of the gastrointestinal tract, including fish bones, chicken bones and toothpicks. The ingestion of FBs is rarely associated with bowel perforation, and most FBs are passed spontaneously. The ingestion of sharp and pointed objects typically produces adverse events related to the upper gastrointestinal system, and FBs are rarely retained in the colon. Bowel perforation caused by the ingestion of FBs should be diagnosed and treated in a timely manner. Here, we present the unusual case of a 51-year-old male who presented to the emergency room with complaints of acute abdominal pain secondary to fish bone ingestion, which triggered cecum perforation.
© The Author(s) 2021. Published by Oxford University Press. All rights reserved. For Permissions, please email: journals.permissions@oup.com.
Figures


References
-
- Rodríguez-Hermosa JI, Codina-Cazador A, Sirvent JM, Martín A, Gironès J, Garsot E. Surgically treated perforations of the gastrointestinal tract caused by ingested foreign bodies: perforations by ingested foreign bodies. Colorectal Dis 2008;10:701–7. doi: 10.1111/j.1463-1318.2007.01401.x. - DOI - PubMed
-
- Bansod A, Mehsare P, Kolpakwar S, Jantli M, Laxminarayan L. Small bowel perforation secondary to unusual foreign body – a case report. Int Surg J 2016;3:2362–4. doi: 10.18203/2349-2902.isj20163637. - DOI
Publication types
LinkOut - more resources
Full Text Sources
Other Literature Sources