Skip to main page content
U.S. flag

An official website of the United States government

Dot gov

The .gov means it’s official.
Federal government websites often end in .gov or .mil. Before sharing sensitive information, make sure you’re on a federal government site.

Https

The site is secure.
The https:// ensures that you are connecting to the official website and that any information you provide is encrypted and transmitted securely.

Access keys NCBI Homepage MyNCBI Homepage Main Content Main Navigation
. 2020 Dec;27(2):80-82.
doi: 10.2478/rjaic-2020-0020. Epub 2020 Dec 31.

Covid-19 Pneumonia and Ventilation-induced Lung Injury: A Case Report

Affiliations

Covid-19 Pneumonia and Ventilation-induced Lung Injury: A Case Report

Lieke H A van Gastel et al. Rom J Anaesth Intensive Care. 2020 Dec.

Abstract

We present the case of a 67-year-old male patient, who was admitted to the intensive care unit for hypoxemic respiratory failure due to severe COVID-19 pneumonitis, requiring mechanical ventilation. Despite close monitoring using transpulmonary pressure measurements and interventions to pursue lung-protective ventilation, the patient developed extensive barotrauma including a right-sided pneumothorax, subcutaneous emphysema and pneumomediastinum while on pressure support ventilation. We hypothesize that the high respiratory drive that COVID-19 patients seem to exhibit, combined with diffuse alveolar injury and increased alveolar pressure, resulted in gross barotrauma.

Conclusion: The respiratory characteristics that COVID-19 patients seem to exhibit might expose those on mechanical ventilation to an increased risk of developing ventilation-induced lung injury. This case emphasizes that caution should be taken in the respiratory treatment of patients with COVID-19 pneumonitis.

Keywords: COVID-19 pneumonia; ICU; barotrauma; mechanical ventilation; pneumomediastinum.

PubMed Disclaimer

Figures

Figure 1
Figure 1
Transpulmonary pressure measurement during short inspiratory occlusion
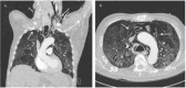
Figure 2
Figure 2
Chest CT showing (A) a right-sided apical pneumothorax and subcutaneous emphysema up to the left side of the neck and (B) extensive pneumomediastinum * Paw: airway pressure (cmH2O), Pes: esophageal pressure (cmH2O), PL: transpulmonary pressure (cmH2O)

References

    1. The ARDS Definition Task Force*. Acute Respiratory Distress Syndrome: The Berlin Definition. JAMA. 2012;307(23):2526–2533. doi: 10.1001/jama.2012.5669. - DOI - PubMed
    1. Gattinoni L., Chiumello D., Caironi P., Busana M., Romitti F., Brazzi L. COVID-19 pneumonia: different respiratory treatments for different phenotypes? Intensive Care Med. 2020. et al. - PMC - PubMed
    1. Yang X., Yu Y., Xu J., Shu H., Xia J., Liu H.. Clinical course and outcomes of critically ill patients with SARS-CoV-2 pneumonia in Wuhan, China: a single-centered, retrospective, observational study. The Lancet Respiratory Medicine. May. 2020;Volume 8(Issue 5):475. et al. Pages. –. - PMC - PubMed
    1. Madahar P, Beitler JR. Emerging concepts in ventilation-induced lung injury. F1000Res. 2020;9:F1000. Faculty Rev-222, mar 2020. - PMC - PubMed
    1. Brochard L, Slutsky A, Pesenti A. Mechanical Ventilation to Minimize Progression of Lung Injury in Acute Respiratory Failure. Am J Respir Crit Care Med. 2017;195(4):438–442. Feb 15. - PubMed

LinkOut - more resources